의료상담

고등핟교 2학년 학생입니다 이거 사랑니 인가요?

치과에 와서 건강검진을 받았는데 치아가 이상하게 생겨서 찾아보니 사랑니라고 하더군요

이 상태면 사랑니를 빼야 되나요?

많이 아픈가요?

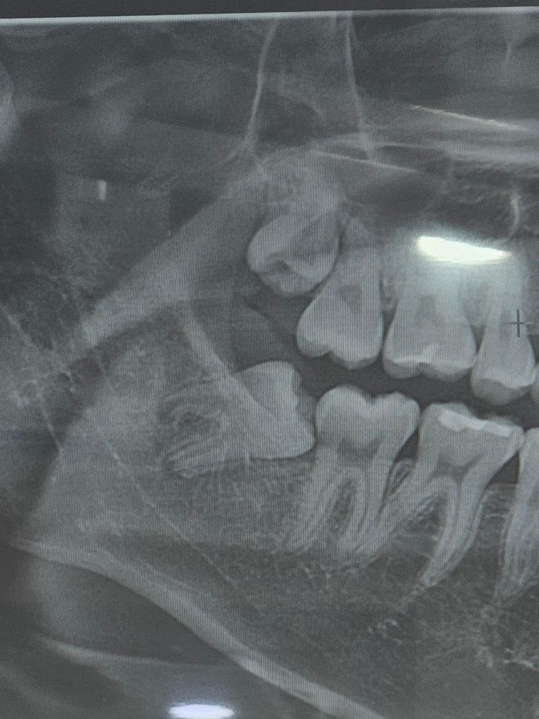
  • 1번 째 사진

2개의 답변이 있어요!

  • 안녕하세요. 류동균 치과의사입니다.

    오른쪽 위,아래 사랑니 모두 존재하며 특히 아래 사랑니는 일부 맹출(잇몸 속에서 나옴)하여 앞쪽 큰 어금니 뒤쪽에 걸린(Locking) 상태로 보입니다.

    이 경우 큰 어금니와 사랑니 사이 틈새가 양치질로 완벽하게 청소하기 어렵게 되고, 결과적으로 충치 및 잇몸질환에 취약해집니다.

    발치 수술에 큰 거부감이 있는게 아니라면 사랑니 발치를 권합니다.

    통증의 경우 개인차가 있으나 술 후 3-5일 정도면 대부분 가라앉으며 수술 후에 병원에서 처방해주는 약을 잊지 말고 복용해야 합니다.

  • 안녕하세요. 최석민 치과의사입니다.

    네 위아래로 마지막 치아는 사랑니입니다 아래는 앞으로 문제를 일으킬 가능성이 많은 사랑니이므로 빼는 것을 권장드리고, 위에는 이미 충치가 약간 있는것 같습니다.

    뺄때 마취하므로 별다른 통증 없습니다