아하
  • 토픽

  • 스파링

  • 잉크

  • 미션


의료상담

언제나협동적인대추나무

언제나협동적인대추나무

25.05.16

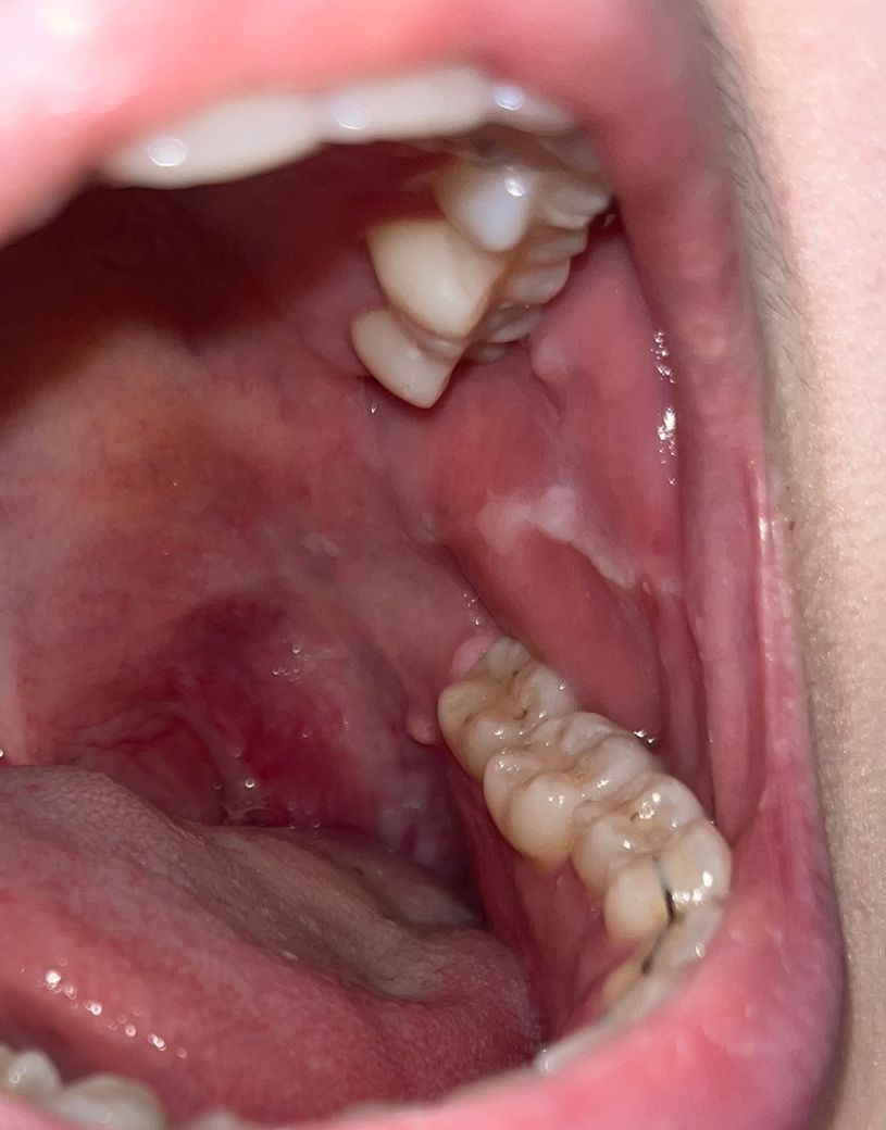
입안에 튀어나온 물집 점액낭종 인가요?

아래 안쪽 잇몸에 반복적으로 저런게 생겼다가 없어졌다가 하네요. 한 반년넘게 잊을만 하면 생겼다가 걸리적거리다가 없어졌다가 하거든요. 약간 투명한 무언가가 같은 자리에 다시 생겨요. 통증은 없고 치과에 갔었는데 잇몸에 염증은 없다고 엑스레이상 문제가 안보인다고 해서 피곤하면 생길수 있다고 했는데 너무 계속 반복해서 생겨서 해결하고싶은데 어떻게 해야하나요?

  • 1번 째 사진

3개의 답변이 있어요!

  • 김철진 치과의사

    김철진 치과의사

    가까운우리치과

    25.05.16

    안녕하세요. 김철진 치과의사입니다.

    치아 뒷부분이 자극을 받으면서 잇몸에 염증이 생겨서 그러는거 같습니다. 점액종은 아니니 걱정하지마세요.

  • 안녕하세요. 최석민 치과의사입니다.

    1. 구강 내 병소를 전문적으로 보는 구강내과에 한번 가보시기 바랍니다.

    2. 단순 물집, 수포 같은데 조직검사해보고 완전히 절제해주면 재발하지 않을 것 같습니다.

  • 안녕하세요. 안상우 치과의사입니다.

    해당 부위는 치아를 너무 강하게 물었을 때 볼이 치아 사이로 밀려들면서 생기는 압편입니다. 치아의 힘이 과도하게 가해지는 거실 아는 표시이기 때문에 치아에 가해지는 힘을 줄여주는 것이 좋습니다. 치아에 많은 힘이 가해지게 되면 마모나 파절 등이 일어날 수 있기 때문입니다.