아핫뉴스실시간 인기검색어
아핫뉴스 화산 이미지
화산 아이콘 11
비트코인 급락
아하

의료상담

치과

아직도소심한칠면조
아직도소심한칠면조

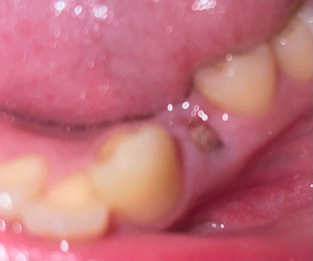
발치후 5일차 갈색 덩어리가 떨어져나가려 하고 갑자기 욱신거려요

교정때문에 발치했는데 4일차부터 갑자기 조금씩 욱신거려서 혀로 조금 건드렸는데 막 떨어지려고해요 혀로 건 든 이유로 통증이 더 심해졌어요 이거 드라이소켓아니죠? 빨대도 많이 사용 하고 술 담배도 해서 너무 걱정돼요

  • 1번 째 사진
4개의 답변이 있어요!
  • 안녕하세요. 김지훈 치과의사입니다.

    드라이소켓일 가능성은 낮지만 흡연이나 음주 등으로 인해서 염증이 생겼을 수도 있겠습니다.

  • 안녕하세요. 김철진 치과의사입니다.

    발치를 하고나서 4일정도 지나고 나서 통증이 극심해졋다면 드라이 소켓일 가능성이 높으니 치과에 가셔서 소독을 받아보시는게 좋을것같습니다.

  • 안녕하세요. 정진석 치과의사입니다.

    드라이소켓이라면 지금 질문자님이 말씀하신 통증보다 훨씬 강하게 옵니다. 또한 드라이소켓은 2~3일 정도에 나타나게 되며 4~5일이 지났다면 드라이소켓이 아닌 일부 혈병이 떨어지면서 발생한 통증일 수 있습니다. 해당 사진에서는 정상적인 회복과정으로 보여지므로 조금 더 지켜보시는 것을 권해드립니다. 만약 지속적으로 통증이 나타나거나 통증의 강도가 커진다면 반드시 치과를 다시 방문하는 것이 좋습니다.

  • 안녕하세요. 안상우 치과의사입니다.

    드라이소켓이 생기게 되면 통증이 매우 심하게 됩니다. 따라서 통증이 엄청 심한 것이 아니라면 드라이소켓이 아닐 가능성이 높습니다. 사랑니를 발췌했다면 발치된 부위가 자극이 되지 않도록 하는 것이 좋습니다.