아하
  • 토픽

  • 스파링

  • 잉크

  • 미션


의료상담

고요한악어276

고요한악어276

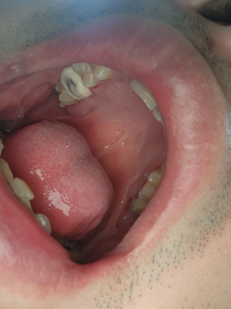
임시치아 안에 검은색 질문드릴게요

임시치아 안에 검은색이 붙여 있는데 저게 레진이 맞을까요? 레진비는 청구햇지만 저 검은색이 레진으로 때운건지 모르겟어요 알려주세요



  • 1번 째 사진

3개의 답변이 있어요!

  • 안상우 치과의사

    안상우 치과의사

    목동안치과의원

    안녕하세요. 안상우 치과의사입니다.

    사진으로는 정확하게 확인이 되지는 않지만 임시 치아가 얇다면 내부에 보이는 재료가 비춰 보여서 어둡게 보이는 경우가 있습니다.

    임시치아는 원래 보철물을 붙이기 전까지만 사용하는 것이기 때문에 그 이전까지 탈락되거나 깨지지 않도록 열심히 사용해 주시는 것이 좋습니다.

  • 안녕하세요. 김철진 치과의사입니다.

    저부위는 검은색이라기 보다는 임시치아가 얇아서 안쪽 치아가 비춰 보이는거 같습니다. 레진은 안쪽에 신경치료후에 단단하게 치아를 떄우셧을꺼에요.

  • 안녕하세요. 최석민 치과의사입니다.

    1. 임시치아가 얇아 안쪽이 비쳐보이는 것 같습니다. 임시치아는 맞물리는 치아와 거의 닿지 않게 해두기 위해 씹는면을 다듬다보면 아주 얇은 상태일 수 있습니다.

    2. 레진의 경우 신경치료 후 코어를 쌓았다면 코어레진비용일 것입니다.