아핫뉴스실시간 인기검색어
아핫뉴스 화산 이미지
화산 아이콘 11
김영대 별세
많이 본
아하

의료상담

치과

완벽히완벽한악어
완벽히완벽한악어

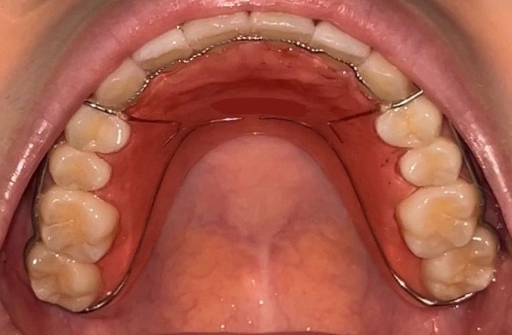
교정 완료 후 어금니 교합이 신경쓰여요.

2월 15일부터 가철식 유지장치 착용 중입니다.

왼쪽 맨 뒤 어금니가 오른쪽에 비해 바깥으로 나와있는데 이것도 가위교합인가요? 이상 없는 건지 궁금합니다.

집에서 교합지 테스트하는 것처럼 해봤는데 오른쪽 맨 뒤 어금니는 전체적으로 꽉 무는 반면 왼쪽은 한 부분만 어느정도 꽉 물고 나머지는 종이가 들락날락 거려요.

교정 장치 제거 후에 치아가 움직인 건가 싶어서 이전 사진 찾아보니까 정면에서 이 하고 찍은 사진에서 왼쪽에 까맣게 빈공간이 보이는 건 교정 갓 마무리했을 때도 그랬고, 여전히 유지장치랑 모양도 딱 맞아요.

일주일 전에 점검 갔을 때 병원에서는 이상 없이 잘 유지되고 있다고 했고, 점검 다녀온 뒤로 신경쓰이기 시작한 거라 다시 가기 귀찮기도 해서 일단 여기에 여쭤봅니다.

  • 1번 째 사진
  • 2번 째 사진
  • 3번 째 사진
  • 4번 째 사진
  • 5번 째 사진
  • 6번 째 사진
  • 7번 째 사진
  • 8번 째 사진
  • 9번 째 사진
  • 10번 째 사진
3개의 답변이 있어요!
  • 첫인상으로 보이는 교합은 가위 교합이 아닙니다 정상적으로 교합이 되고 있지만 협주 부위가 조금 떠 있을 수 있습니다 정확한 확인을 위해서 교정 치과에서 진료를 받아 보는 것을 권유 드립니다

  • 현재 사진상으로 교합에 문제가 되어 보이지는 않으며, 만약 불편감이 있고, 지속되는 경우에는 치과 진료를 받길 권합니다.

    궁금증 해소에 도움이 제 답변이 도움이 되셨길 바라며, '👍' 눌러주시길 부탁드립니다.

  • 안녕하세요 치과의사 김철진입니다. 교합은 치과에 가셔서 체크를 받아보시는게 가장 좋습니다. 사진상으로 보면 어금니가 많이 떠 보이는것처럼 보이는데 저게 정상교합이라면 문제가 없는거겟죠.