치아 어금니 가만이 잇어도 욱신??…
오른쪽 위 맨끝 어금니 치아가 가만이 잇어도 욱신합니다
저치아가 그앞에 치아하고 사이가 좀벌어져서
유독 음식물이 잘끼입니다…
그러나 매일 치실하고 워터픽까지 하고
하루에 양치 4번으로 꼼꼼히 관리중입니다
치아를 두들기거나 만져도 통증은 없습니다
시린거에도 반응도 없구요…
젓가락으로 쎄게 물엇을대 욱신합니다…
가마니 잇어도 지속적으로 욱신하구요~~
이경우 저 인레이 레진을 벗기고 충치 확인을 해봐야 할가요??? 충치면 신경치료 들어가면돼지만
만약 잇몸 문제면 신경치료가 의미가 없잔아요??
치과 서너군대 가봣는데 다들 잘모르겟답니다..
이상이 없답니다
이경우 어떡해해야하나요??
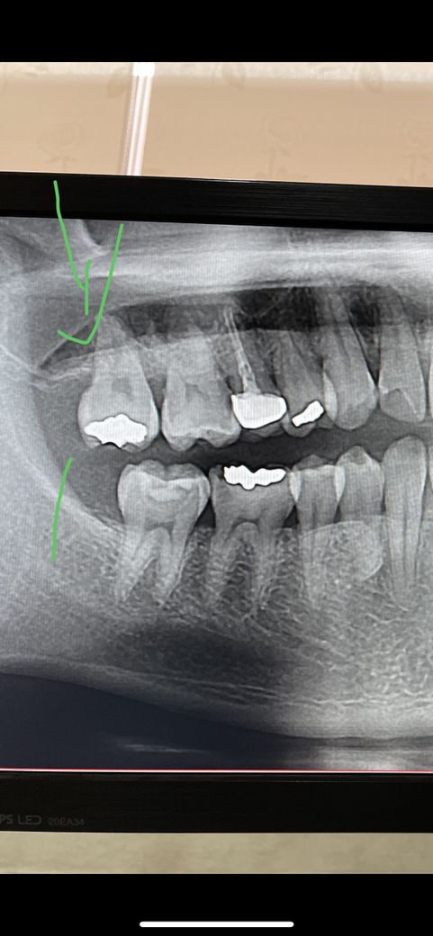
사진으로 봣을대 잇몸이 안조은가요?…음식물이 유독 잘끼긴 합니다…
신경치료를 해야할가요??.잇몸문제면 신경치료 하면 통증 없어지진 안을건데…
상세하고 구체적으로 답변 부탁드립니다
어떻게 해야하는지….
안녕하세요. 김바른 치과의사입니다.
일단 직접 진료를 보지 않고선 정확한 답변이 불가능합니다.
음식물이 끼는 문제는 그렇게 단순하지 않습니다.
정확하게 치료를 했음에도 저작하는 방식에 따라서 음식이 끼는 사람들도 있고, 잇몸의 문제로 인해 음식물이 끼기도 합니다. 이는 경우에 따라서 다르기 때문에 직접 검사를 해봐야 알 수 있습니다.
안녕하세요. 정진석 치과의사입니다.
말씀하신 증상은 잇몸일 수도 있으나 통증이 나타나는 양상으로 보아서는 잇몸 뿐만 아니라 치아에 금이 갔을 수도 있어 보입니다. 또한 인레이 밑으로 2차 충치가 발생해서 나타나는 증상일 수도 있습니다.
물론 사진으로 보았을 때도 앞 치아에 비해 잇몸라인이 내려갔습니다. 하지만 잇몸이 내려간다고 해서 지금의 증상이 나타나는 것은 아닙니다. 아마 치아 자체의 문제가 더 커 보입니다.
아무쪼록 저의 답변이 문제 해결에 작게 나마 도움이 될 수 있기를 기원드립니다. 항상 건강하고, 행복하세요^^
정진석 치과의사 드림
안녕하세요. 이정현 치과의사입니다.
사진으로만 봤을때는 특별히 이상이 없어보입니다.
물었을때 욱신거린다면 치주염이나 크랙의 가능성도 있습니다. 미세한 크랙은 잘 안보이기 때문에 찾는게 쉽지 않을 수 있습니다.
치과에서 이상없다고 했다면 치주염의 가능성도 크지 않아보입니다. 증상이 지속된다면 신경치료를 해보는 방법밖엔 없지만, 그전에 대학병원의 보존과나 구강내과에서도 한번 진료를 받아보시기 바랍니다. 감사합니다.
안녕하세요. 김철진 치과의사/경제·금융전문가입니다.
씹을때 불편감을 느끼긴다면 치아에 금이갓을 경우에 그럴수도 있습니다. 치아에 금이갓다면 신경치료를 하셔야될수도 있습니다. 잇몸뼈가 많이 내려가셧고 잇몸이 좋지는 않아보입니다
안녕하세요. 장인아 치과위생사입니다.
치아에 금이 갈 가능성이 있습니다.
차아에 금이가는 이유는 이악무는습관, 이갈이,강하게 씹는 습관 등이 있습니다.
치아에 금이 가면 씹을때 통증, 차가운 음식 섭취시 시큰거림 찌릿함,
무증상이 있을수 있습니다.
치아에 금이 가 있으면 보철물로 씌워 줘야 합니다.
치근으로 연장된 신경 조직에 염증을 일으키면 신경치료 후 씌워 줘야 하고
악화 되면 발치를 해야 할수 도 있습니다.
도움이 되기를 바랍니다. 건강하세요.

