아하
  • 토픽

  • 스파링

  • 잉크

  • 미션


의료상담

덕망있는황여새196

덕망있는황여새196

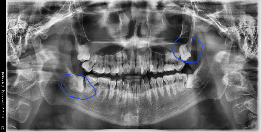
위에 난 사랑니 일반치과에서 뽑아도 되나요?

안녕하세요 몇가지 질문드릴게 있어서 글을 남깁니다


1. 위에 난 사랑니(동그라미) 일반 동네치과에서 뽑아도 되나요?

- 사랑니전문 치과는 아닌데, 위에 똑바로난 사랑니는 신경관 지나가는쪽 아니라 쉽게 뽑을 수 있다하시더라구요. 일반치과에서 뽑아도 될까요?


2. 위에 사랑니 뽑으면 붓기는 얼마정도 가나요?

- 막 크게 퉁퉁붓는 붓기는 어느정도 갈지 궁금합니다. 밑에 사랑니는 매복이라 꽤 갔던것 같습니다.



  • 1번 째 사진

3개의 답변이 있어요!

  • 송우식 치과의사

    송우식 치과의사

    솔플란트치과 경기도 성남시 모란역

    안녕하세요. 송우식 치과의사입니다.

    1, 위의 사랑니가 경사져 매복되어 있으며 특이 오른쪽 위으 사랑니는 고난이도 수술이 필요할 것으로 보입니다. 구강외과 전문의에게 가는 것을 추천합니다. 2. 위의 사랑니도 2-3일간 붓고 아프고 할 것으로 보입니다.

  • 안녕하세요. 김철진 치과의사입니다.

    크게 붓거나 그렇진 않으실꺼 같습니다. 일반치과에서 발치를 해주신다면 뽑으셔도 되지만, 큰병원으로 가시라고 하시면 대학병원이나 구강외과 전문의가 잇는치과를 가시는게 좋을것같습니다.

  • 안녕하세요. 김지훈 치과의사입니다.

    일반치과에서 사랑니 뽑으셔도 됩니다. 붓기는 아래쪽 사랑니보다는 덜 할 가능성이 높습니다.