아핫뉴스실시간 인기검색어
아핫뉴스 화산 이미지
화산 아이콘 11
안세영 11번째 우승
아하

의료상담

치과

Retsu
Retsu

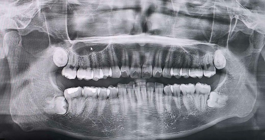
하악 완전 매복 사랑니 발치 해야될까요?

얼마 전 촬영했던 xray입니다.

상악쪽 두개는 나오고 있어서 발치를 조만간 하려고 하는데,

하악쪽도 발치가 필요한 경우 동시에 같이 발치하는게 좋지 않을까 싶어 질문 해봅니다.

90도로 뼈 밑에 있는 것처럼 보이고 앞 어금니와에 공간도 살짝 있는 것 같아서 필요한지 궁금합니다.

입 안에서 봤을 때도 나와있지 않고 불편감도 없는 상태입니다.

  • 1번 째 사진
4개의 답변이 있어요!
  • 안녕하세요. 김지훈 치과의사입니다.

    아래치아의 경우에는 난이도가 아주 높은 편이라 불편감이 없다면 꼭 뺄 필요는 없어보입니다.

    1명 평가
  • 안녕하세요. 김철진 치과의사입니다.

    하악의 사랑니의 경우는 특별한 이유가 없다면 발치를 안하셔도 크게 문제가 되진 않을것같습니다.

    1명 평가
  • 안녕하세요. 최석민 치과의사입니다.

    매복이 아주 깊은 상태입니다. 지금은 별 증상이 없어도, 옆 어금니 뿌리를 녹이거나 충치를 유발할 확률이 있습니다. 대학병원 가셔서 발치 상담해보세요

    1명 평가
  • 안녕하세요. 안상우 치과의사입니다.

    사진으로 봤을 경우에는 완전히 매복되어 있고 다른 조직에 문제를 발생시키지 않습니다. 하지만 오른쪽 아래 사랑니의 경우에는 앞에 있는 지하에 지지를 하는 치조골을 많이 침범한 상태이기 때문에 발치를 해주는 것이 좋을 수도 있습니다.

    자세한 확인을 위해서 치과에서 진료를 받아보는 것을 권유드립니다.