의료상담
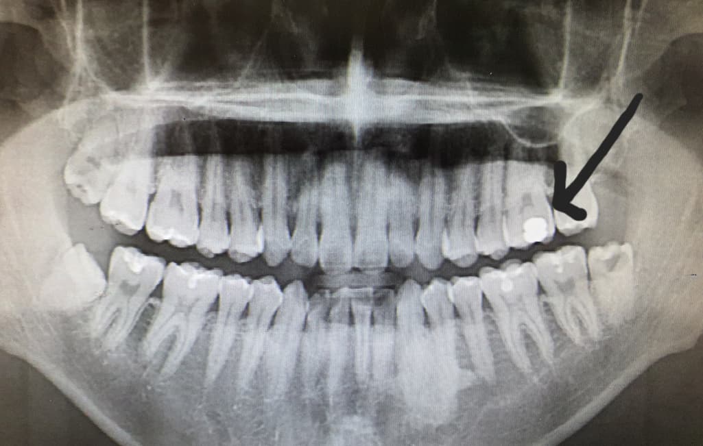
엑스레이 상 왼쪽 윗어금니 아말감 치료 후속
엑스레이 상 왼쪽
어금니에 아말감 치료를 했었는데요,
충치가 진행된 것처럼 보이시나요? 신경치료까지 해야하는 것일지 궁금합니다.
55글자 더 채워주세요.
5개의 답변이 있어요!
안녕하세요. 김철진 치과의사입니다.
엑스레이 상으로는 크게 충치가 진행된것처럼 보이진 않지만, 아말감 상태가 좋지 않다면 제거후에 다시 치료를 하시는게 좋을것같습니다.
안녕하세요. 최석민 치과의사입니다.
1. 이차충치와 관련해서는 환자분의 증상(차갑거나 뜨거운 음식 먹을 때 불편한지, 씹을 때 불편한 지)과 치근단방사선사진(위의 사진은 파노라마 방사선 사진이고 좀 더 작은 해상도가 좋은 사진)이 진단에 도움이 됩니다.
2. 현재로서는 아말감 치료 당시 충치가 다소 깊었고 하방에 신경과 보호막을 형성하기 위해 이장재를 깔아둔 것 같습니다.
안녕하세요. 안상우 치과의사입니다.
사진으로만 봤을 경우에는 아마감 주변에 충치가 보이지는 않습니다.
하지만 육안으로도 확인을 해야 정확하기 때문에 자세한 확인을 위해서 치과에서 진료를 받아 보세요.
안녕하세요. 송우식 치과의사입니다.
사진만 보고는 충치 진행 여부 판별하기 어렵습니다. 눈으로 직접 보는 구강검사와 본인의 통증 여부 등을 확인해야 합니다.
안녕하세요. 김지훈 치과의사입니다.
충치가 진행된 것으로 보이고 신경치료 가능성도 높아보입니다. 정확한 것은 아말감을 제거해봐야 압니다.

