아핫뉴스실시간 인기검색어
아핫뉴스 화산 이미지
화산 아이콘 11
숙행 불륜 의혹
아하

의료상담

치과

챙칙스
챙칙스

교정전문의선생님들 의견이 궁금합니다!

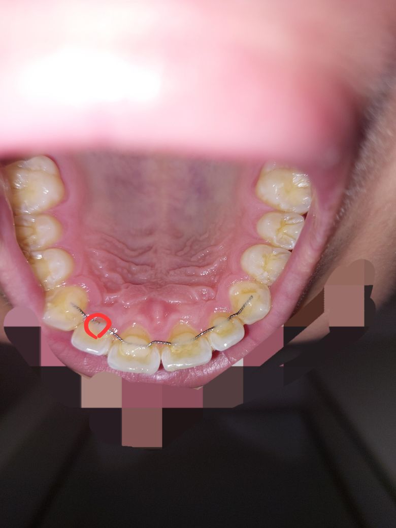
저는 교정끝난지는 7년차고 위 유지장치를 교정끝난직후 현재까지 부착하고있었는데 워낙 오래됐다보니 빨간색부분 철사가 절단됐다길래 아래사진처럼 절단된곳만 잘라내고 레진을 삭제해둔상태인데요.

치과의사분의 생각은 완벽히 유지하고싶으면 고정식유지장치를 다시 제작해서 부착하고 가철식 유지장치를 취침시에만 착용하는게 제일낫고,두번째는 지금 딱 이상태로 유지한상태로 취침시 가철식유지장치를 끼는것,세번째는 아얘 제거하고 가철식 유지장치만 취침시에 끼는건데

저는 고정식 유지장치도 이제 7년차면 할때까지 했다고 생각하고 조금 틀어져도 이젠 그냥 두고싶어서 두번째 세번째만 고려하고있습니다.

그래서 질문드립니다.

선생님들께선 저 고정식유지장치라도 유지하는게 낫다고 보시나요?

아니면 저거 제거하고 가철식 유지장치만 착용하는게 낫다고 생각하시나요?

(참고로 가철식유지장치는 그래도 계속 착용할생각이긴 합니다)

  • 1번 째 사진
  • 2번 째 사진
3개의 답변이 있어요!
  • 안녕하세요. 김철진 치과의사입니다.

    7년동안 유지장치를 사용하셔고 부분적으로만 제거한거라면 저 상태로 사용하셔도 크게 문제가 되진 않을것같습니다.

    1명 평가
  • 안녕하세요. 김지훈 치과의사입니다.

    지금 상태의 유지장치라도 계속해서 사용을 하는 것이 유리하며 가철식과 병행하여 끼시면 됩니다.

    1명 평가
  • 안녕하세요. 안상우 치과의사입니다.

    고정식 유지 장치는 가능한 오랫동안 하고 있는 것이 좋습니다. 교정치료를 하고 나면 치아가 이동할 가능성이 있기 때문입니다. 치아가 이동하게 되면 재교정이 필요할 수도 있습니다. 자세한 확인을 위해서 교정치과에서 진료를 받아보는 것을 권유드립니다.

    1명 평가