이거 충치 맞죠? 사진 참고 부탁드립니다
22년부터 정체불명의 통증이 지속되어 치과를 지금까지 총 10군데 정도 방문해서 검진을 받았습니다
대학병원 보존과 전문의 보철과 전문의 구강내과 전문의 모두가 이상없다고 진단했고 신경과를 가보라는 말을 들어 신경과에서 진통제만 먹으며 방치했더니 23년에 치주염이 발생하고 치아가 흔들리는 지경이 되었습니다
23년에 결국 잇몸치료를 한번 받았으나 여전히 통증이 완전히 사라지지 않아서 또다른 보존과 전문의 보철과 전문의 대학병원 치주과 전문의 대학병원 구강외과 전문의 등을 또 방문해 검진했는데도 치주염이 발생했던 자리라 또 치주염이 발생할수있다했고 현재는 이상이 없다했으며 ct상으로도 이상이 없다고 하였고 간혹 우울증으로 치통이 생길수 있다며 정신과 의뢰서를 써주겠다는 제안에 정신과에서 진통효과가 있는 항우울제로 치료까지 받고 있는 상태입니다 사실상 거의 포기 상태로 있었는데 오늘 또 양치물로 치아 사이를 가글하다가 계속해서 통증을 일으킨 신경치료한지 10년 정도된 PFM 크라운이 되어있는 소구치와 그 옆의 대구치 사이에 시린 통증이 느껴져 아무래도 수상하다 싶어 잇몸을 들춰보니 저렇게 시커멓게 되어있습니다
충치가 맞는지 알려주시면 감사하겠습니다
치과에 방문해서 확인하라는 뻔한 말은 사양하겠습니다 이미 치과의사 10명 정도에게 보인 치아입니다
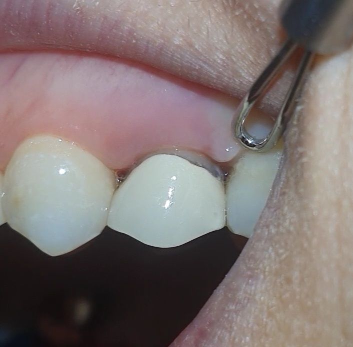
크라운 내부충치가 치경부까지 번진 것인지 아무 의견이라도 좋으니 사진을 보시고 개인 소견을 말씀해주시면 감사하겠습니다
안녕하세요. 김철진 치과의사입니다.
더부분은 시간이 지나면서 잇몸이 내려가 치아가 노출된상태인거 같습니다. 안쪽에 충치는 크라운을 벗거내봐야 제대로 알수 있습니다.
안녕하세요. 최석민 치과의사입니다.
정확한 검사는 치과를 가보셔야겠지만 사진상으로 봤을 때는 충치는 아닙니다. pfm 크라운을 하셨는데 이 재료 자체가 겉은 치아색 나는 도자기재질이고 내부는 메탈입니다. 시간이 지남에 따라 처음에는 잇몸 높이에 딱 맞춰 크라운이 제작되었지만 잇몸이 점차 내려가면서 내부 메탈이 노출되면서 잇몸에 비쳐보이는 것입니다. 다시 치아 검사를 해보시고 필요하다면 크라운 재제작을 하시면 될 것 같습니다.

