의료상담

인레이와 크라운 없이 레진으로만 진료 가능한지 알고 싶습니다.

현재 임플란트 급해서 임플란트 하고있는 치과 인데요, 발치 하고 플리퍼 본 까지 떴는데, 그 외 나머지 충치 들?? 치료까지 진행하려고 하였습니다. 근데 약간 인레이와 크라운쪽으로 좀 몰아가는 보철? 식 치과인 거 같아서요. 열심히 찾아보면서 느낀 건. 인레이와 크라운이 최선인 경우도 있다곤 하지만, 제가 듣고, 보기엔+유튜브 열심히 찾아도 봤는데 보전식 치료가 암만 생각해도 맞는거 같아서 나머지 이빨들은 레진이나, 레진 (빌드업) 치료로 다 받고싶은데 가능한가요 ?

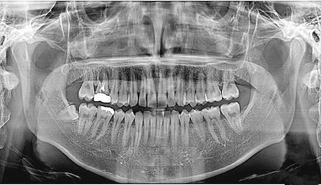
  • 오른쪽 6은 어제 발치 하였습니다.

  • 1번 째 사진
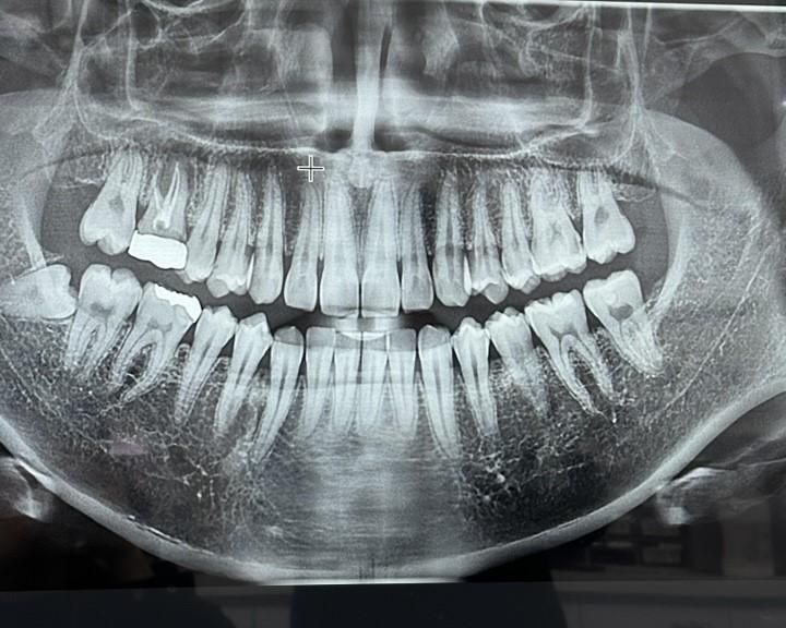
  • 2번 째 사진
  • 3번 째 사진

1개의 답변이 있어요!

  • 안녕하세요. 최석민 치과의사입니다.

    일반적으로 레진이 가능한데 인레이, 크라운으로 안내를 하진 않습니다

    인레이는 주로 인접면 충치가 있을 경우 하게 되는 치료이고 이를 억지로 레진으로 할 경우 아무래도 본뜬것보다 덜 정교해서 음식물이 잘 끼고, 힘 받으면 깨지고 그렇습니다

    크라운은 애초에 수복 개념과는 별개고요 치료 계획상으론 확정적으로 크라운하겠다는 건 아니네요

    크라운은 신경치료 후 약해진 치아를 보호하기 위해, 크랙이나 넓은 범위의 충치에 적용하는 보철치료입니다

    인레이나 신경치료+크라운 가능성이 있다는 건 충치를 제거해봐야 그 깊이를 알 수 있어서 그렇습니다