아하
  • 토픽

  • 스파링

  • 잉크

  • 미션


의료상담

그런대로파란불도그

그런대로파란불도그

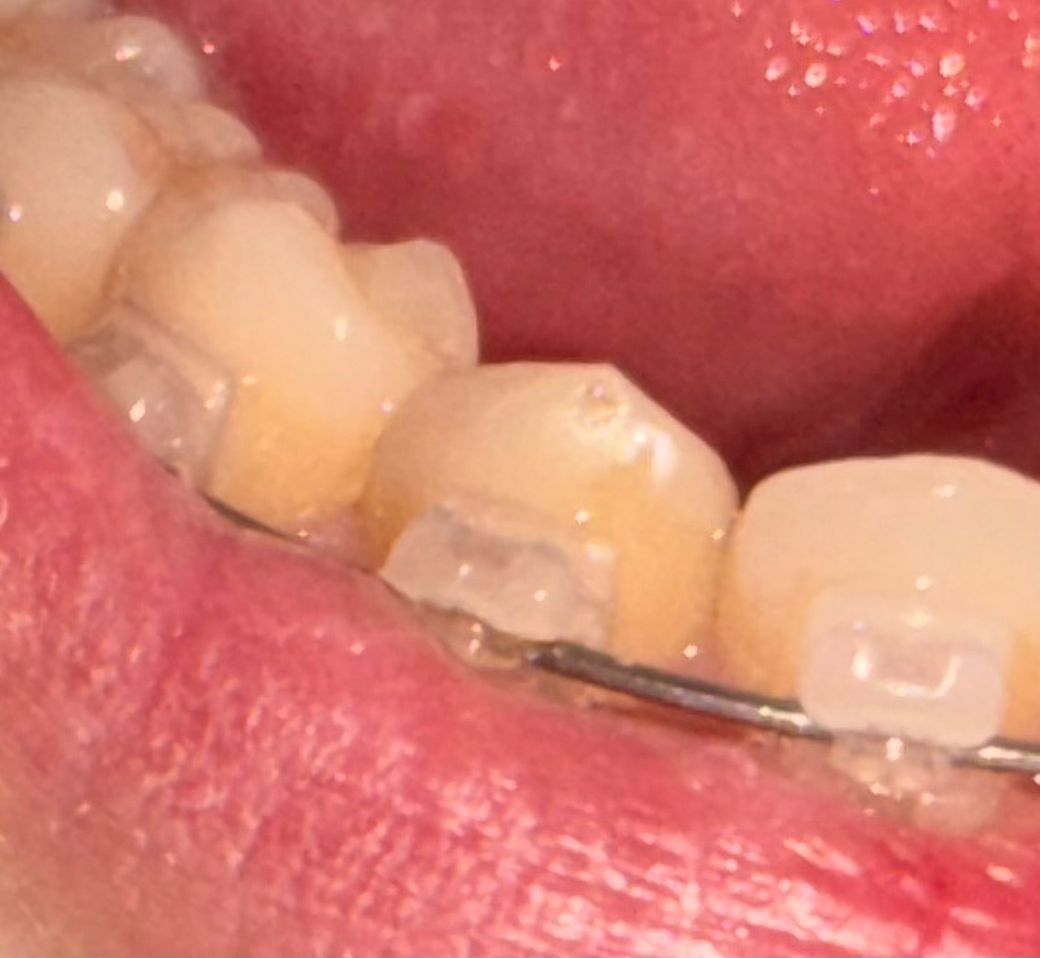
이빨에 구멍이... 몰까요...?

아래작은어금니 앞에잇는 송곳니? 가 빵꾸가잇네요

오늘거울보다 발견햇고 아프진않아요.. 몰까요

교정해서그런가요 ㅠㅠㅠㅠ

  • 1번 째 사진
  • 2번 째 사진

4개의 답변이 있어요!

  • 김철진 치과의사

    김철진 치과의사

    가까운우리치과

    안녕하세요. 김철진 치과의사입니다.

    사진에 보이는 부분이 치아가 약간 깨진거 같습니다. 불편하지 않으면 그냥 두셔도 크게 문제가 되지 않는다.

  • 안녕하세요. 안상우 치과의사입니다.

    치아에 파절이 되면 사진처럼 보일수 있습니다 과도한 힘이나 교합간섭등으로 인해서 치아에 강한 힘에 의해 마모가 발생하면서 생기는 증상일수도 있습니다.

    크게 문제가 되지는 않으나 걸리적 거리거나 한다면 해당부위를 간단하게 다음을수 있습니다.

  • 안녕하세요. 김지훈 치과의사입니다.

    교정을 한 것과는 별개로 치아가 마모가 되어서 그렇거나 약간 깨져나가서 그런 것으로 보입니다.

  • 안녕하세요. 최석민 치과의사입니다.

    치아 겉부분인 법랑질이 약간 깨져나간 것 같습니다 기능상으론 크게 문제 없습니다 딱딱한 음식 씹다가, 혹은 교합문제 때문에 그런 것 같습니다