아하
  • 토픽

  • 스파링

  • 잉크

  • 미션


의료상담

한결같이우수한라면

한결같이우수한라면

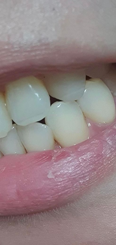
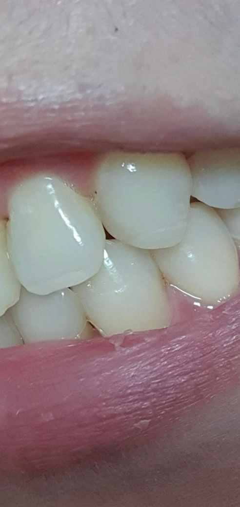
치아에선 스트레스 ㅜㅜ 클릭해서 한번 봐주시면 감사하겠습니다ㅜㅜ

질문1:

윗앞니 옆, 위송곳니 이빨 저선대로 깍으면 안좋은거죠??

질문2: 저선 치아갈지않고 레진수복으로 회복 가능할까요?사진으론잘안보이지만 실제론 잘보입니다..

이거 치과기구로 일부러 그은거죠? 자연적으론 이런선 안생기잖아요.. 위에 앞니옆이랑 송곳니랑

이거 갈때마다 계속 그어서 이번에찐해진거 같은데 이거 자연적으로 생길수없는거죠?

이거 건치유도로안깍는게 좋은거아닌가요?위에선이요..

두개 선이있어요..

깍으면 안좋은거죠??

두개선그은거 그아래이빨 옆면도 김한장만큼 갈았어요ㅜㅜ보이시죠

  • 1번 째 사진
  • 2번 째 사진

2개의 답변이 있어요!

  • 김철진 치과의사

    김철진 치과의사

    가까운우리치과

    안녕하세요. 김철진 치과의사입니다.

    치과에서 생긴 선이 아니라 그부위에 레진으로 혹시 치료를 하신적잇지 않으세요? 사진상으로는 예전에 치료한 부위경계선 처럼 보입니다.

  • 안녕하세요. 최석민 치과의사입니다.

    1. 어떤 목적으로, 치료계획 중인지 한번 치과에 상담 받아보세요 첫번째와 두번째 교합 양상이 다른데 단지 첫번째에서 어금니를 잘못 문 것인지 아니면 조정을 통해 개선된건지 궁금하네요

    2. 저 홈을 레진으로 메꾸긴 어렵습니다