아핫뉴스실시간 인기검색어
아핫뉴스 화산 이미지
화산 아이콘 11
이재명 대통령 신년
아하

의료상담

치과

영험한곰6435
영험한곰6435

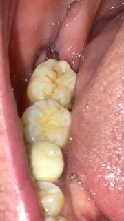
사랑니 발치 2주째인데 상태좀 봐주세요

사랑니 발치하고 2주째인데요.

발치한 부분 구멍 옆에 뼈인가요 ??

혹시 남은 사랑니는 아니겠죠 ??

구멍은 살로 채워지면 저기 있는 뼈부분은 어떻게 되나요 ?? 그냥 살로 뒤덮이는건지 어떻게 되는건가요??

  • 1번 째 사진
5개의 답변이 있어요!
  • 안녕하세요. 송우식 치과의사입니다.

    뼈인지 하얗게 딱지 앉은 것인지 사진으로 확인안됩니다. 만약 잇몸뼈가 노출된 거라면 치과에 가야하며, 별다른 불편감이 없다면 그냥 지내도 됩니다.

  • 안녕하세요. 김지훈 치과의사입니다.

    구멍이 채워지고 나면 뼈도 다시 채워집니다. 뼈가 보이고 있는 것으로 보이며 수개월 지나면 닫힙니다.

  • 안녕하세요. 김철진 치과의사입니다.

    사랑니를 빼고난곳의 잇몸뼈가 보이는부분이고 시간이 지나면 잇몸이 차오르게 됩니다. 최소 한달정도는 시간이 소요됩니다.

  • 안녕하세요. 최석민 치과의사입니다.

    발치 후 2~3개월에 걸쳐 잇몸과 잇몸뼈가 자라나옵니다. 지금 2주째라면 치유 양상에 있어 크게 걱정할 시기는 아니고 좀 더 기다려봐도 좋습니다. 해당 부위 음식물 끼지 않도록 주의하시기 바랍니다.

  • 안녕하세요. 안상우 치과의사입니다.

    사랑니를 발치하고 나면 발치한 부위에 이물질이 들어가거나 낄 수 있습니다. 이런 이물질은 대부분 가볍게 가결을 하면 제거가 됩니다. 억지로 제거하려고 하다간 발치한 부위에서 손상이 생기게 되고 치료가 늦어질 수 있으니 억지로 제거하지 않는 것이 좋습니다.