아하
  • 토픽

  • 스파링

  • 잉크

  • 미션


의료상담

내내견고한김치만두

내내견고한김치만두

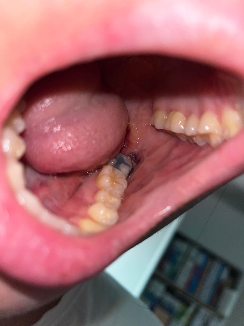
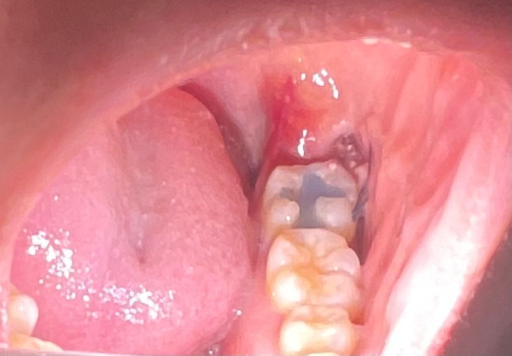
매복사랑니 발치 후 혈전안에 하얀색이 뭔가요?

매복사랑니를 이번주 목요일날 발치하여서 현재 3-4일차 입니다. 사랑니 발치한 자리 혈전에서 하얀색 덩어리들이 보이는데 이게 뭔지 궁금합니다. 처음에는 이물질인줄 알고 물가글을 해보았는데 안없어지는걸로 보니 이물질은 아닌것같은데.. 뭘까요?

그리고 발치한 부분 옆에도 빨갛게 부어올랐습니다ㅠㅠ

  • 1번 째 사진
  • 2번 째 사진

3개의 답변이 있어요!

  • 안상우 치과의사

    안상우 치과의사

    목동안치과의원

    안녕하세요. 안상우 치과의사입니다.

    발치한 부위에는 상처가 생기기 때문에 붉은색으로 보일수 있습니다. 발치한 부위에는 이물질등이 들어갈수 있으며 가피가 형성되면 하얀색으로 보일수도 있습니다. 

    발치를 하고 난 다음에는 발치한 부위를 자극하지 않는것이 좋습니다. 

  • 안녕하세요. 김철진 치과의사입니다.

    사랑니 발치를 하고나서 잇몸이 치유되는 과정중에 생기는 자연스러운 현상입니다. 걱정하지않으셔도 됩니다.

  • 안녕하세요. 최석민 치과의사입니다.

    발치 후 생기는 다양한 염증 육아조직으로 보입니다 걱정 안하셔도 됩니다 발치 후 주의사항 잘 지켜주세요