아하
  • 토픽

  • 스파링

  • 잉크

  • 미션


의료상담

탈퇴한 사용자

탈퇴한 사용자

양치시 치아시림으로 질문했었는데요..

양치할때 칫솔에 치약묻은채로 딱 닿일때 순간적으로

치아시림이 있었다고 질문했었는데요ㅠㅠ

시럽용감기약 먹을때도 순간 시림이발생하더라고요

양치하고 직후에 감기약시럽먹었어요


혹시해서 얼음물고잇엇는데 이때는 치아시림이없었어요

찬물 뜨거운물 저작시에도 얼음물도 멀쩡한대..

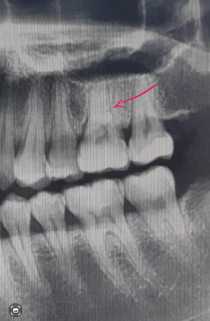
혹시해서 파노라마확인했는데


화살표 표시된곳은 크랙인가요??

저 치아가 칫솔닿이면 시린치아입니다

파노라마에서 치과에서는 별말없었는데...

치과에서 해줄수있는게없대요..

다른병원을 가야할까요 미치겠습니다


추가로 입천장이 자꾸 하얗게떠요

하얗게 된부분 손으로 문지르면 껍질일어나듯이 벗겨집니다

이유가뭘까요 뜨거운거 식혀먹어요..


  • 1번 째 사진

3개의 답변이 있어요!

  • 김철진 치과의사

    김철진 치과의사

    가까운우리치과

    안녕하세요. 김철진 치과의사입니다.

    양치하실때만 시리시다면 치경부 마모증떄문일 가능성이 높습니다. 많이 시리시면 메꾸는 치료를 하시는게 좋을것같습니다.

  • 안녕하세요. 안상우 치과의사입니다.

    사진에서 가리키는 부분은 치아에 뿌리가 분지되는 부분입니다 크랙의 형태로는 보이지 않기 때문에 크게 걱정하지는 않으셔도 됩니다.

    치아에 허리 보호는 치아에 약한 부위이기 때문에 자극이 되거나 한다면 실은 증상이 발생할 수 있으며 시력과 같이 당도가 높은 물질이 닿게 되면 이런 부위에 상투압 효과로 인해서 일시적으로 시린 증상이 발생할 수 있습니다

  • 안녕하세요. 최석민 치과의사입니다.

    1. 방사선 사진상 해당 치아 치수강 위축 (신경이 있는 관의 크기가 작아짐)이 이뤄진 것으로 보아 어떤 자극이 치아에 지속적으로 가해졌던 것 같습니다. 그 자극은 충치일 수도 있고 딱딱한 음식을 즐겨 드시어 교합력이 과도하게 작용해서 그랬을 수도 있고요. 후자의 경우 치아 금이 간 것과 연관될 수 있습니다.

    2. 뿌리쪽 금이 간 경우는 치료가 힘들 수도 있습니다. 신경치료를 하고 치아를 보호하기 위해 크라운을 씌운다해도 결과적으로 증상이 개선되지 않을 수도 있습니다.

    3. 입천장과 관련된 부분은 사진이 없기 때문에 정확히 상황을 알기는 어려우나 보통 흰 껍질 생기는 것은 특별히 심각한 병적인 것은 아니고 죽은 구강 상피세포가 모인 것입니다. 자연스럽게 탈락해서 사라지는데 주로 자극적인 음식(뜨거운 음식이 아니더라도 매운 음식 등)을 먹거나 알콜 포함된 가글액을 너무 자주 사용하여 자극이 가해지면 잘 생깁니다