아하
  • 토픽

  • 스파링

  • 잉크

  • 미션


의료상담

솔직한칠면조181

솔직한칠면조181

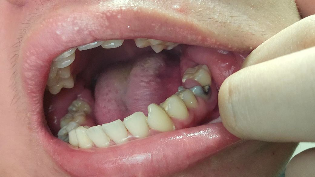
치과 어떤치료를받을수 을까????

치과 이번주 25일갔는데요

치과 에서 그어떤치료를받을수 있을까요 ? 치료하기전무조건 마취하나요 이빨 뽑을만한 상태인가요? 발치할가능성있나요?

그리고 임플란트할가능성 많이있나요

  • 1번 째 사진
  • 2번 째 사진
  • 3번 째 사진

2개의 답변이 있어요!

  • 김철진 치과의사

    김철진 치과의사

    가까운우리치과

    안녕하세요. 김철진 치과의사입니다.

    엑스레이를 찍어봐야 알겟지만 신경치료 또는 충치가 심하면 발치를 하셔야될 가능성이 있어 보입니다.

  • 안녕하세요. 최석민 치과의사입니다.

    1. 통증이 예상되는 치료 진행 시 마취를 합니다

    2. 치아 상태가 그리 좋아보이진 않습니다 치료가 어렵고 빼야할 수도 있습니다