아핫뉴스실시간 인기검색어
아핫뉴스 화산 이미지
화산 아이콘 11
키스는괜히해서
많이 본
아하

의료상담

치과

빨간꽃게292
빨간꽃게292

점액낭종 제거수술을 3일 전에 했는데 아직도 통증이 있어요. 정상인가요?

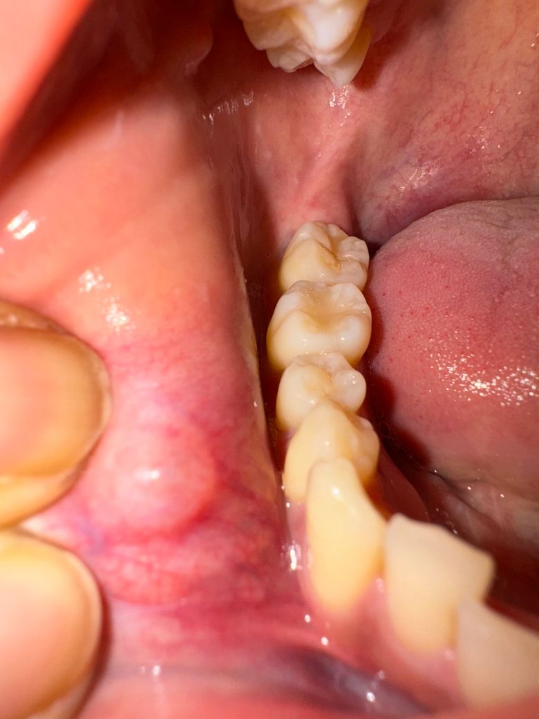
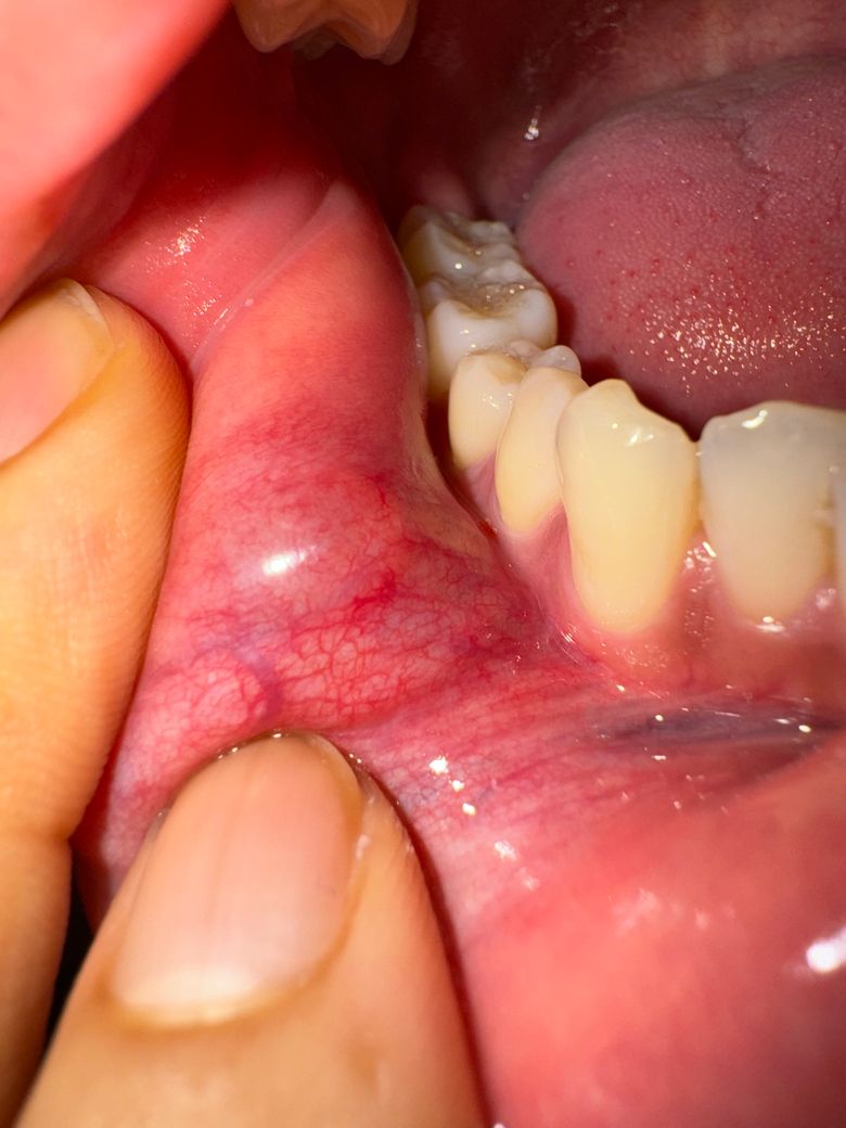
입 안에 (입술 안쪽) 점액낭종이 생겨서 제거수술을 한지 3일 됐습니다.(수요일에 했어요) 절개부위는 2cm정도 되는 것 같고 꼬매놓은 상태입니다. 실밥제거는 아직 안했습니다. 입을 벌리면 찢어지는 듯하고 뻐근한 통증이 생기는데 정상일까요?

추가로 사진과같은게 나왔는데 치과 선생님께 조직검사하고싶다고말씀드렸는데 선생님이 누가봐도 점액낭종같으면 조직검사 안한다고하셨고 뭔가 애매하면 보내보겠다하셨는데 비용이 얼마 안나온 것 보니 안하신 것 같더라구요. 사진으로 보실 때 구강암일 확률은 없을까요?

원래 이렇게 생겼었습니다!

  • 1번 째 사진
  • 2번 째 사진
  • 3번 째 사진
  • 4번 째 사진
4개의 답변이 있어요!
  • 안녕하세요. 최석민 치과의사입니다.

    술후 통증은 며칠, 길게는 일주일까지도 지속되기도 합니다. 처방받은 진통제 약 드시기 바랍니다. 대학병원이면 루틴하게 조직검사를 하겠으나 일반 동네 치과의 경우 따로 외부 기관에 의뢰를 해야 하므로 생략하는 경우도 있을 것 같고, 사진상으로 봤을때 점액낭종의 소견입니다. 평소 식사 시 볼, 입술을 자주 씹었다면 더 가능성이 높습니다.

    1명 평가
  • 안녕하세요. 김지훈 치과의사입니다.

    수술 후 3일 정도 지났다면 아직 통증이 느껴질 수 있으며 치과에서 조직검사 보냇으면 곧 결과가 나올겁니다.

  • 안녕하세요. 김철진 치과의사입니다.

    낭종크기가 커서 아직 상처가 다 아물지 않아서 그럴수도 잇습니다. 시간이 지나면 괜찮아 질테니 너무 걱정하지마세요.

  • 안녕하세요. 안상우 치과의사입니다.

    점액낭종을 제거할 때 제거된 부위가 깊었다면 삼일이 지난 뒤에도 통증이 있을 수 있습니다. 이런 통증은 대부분 시간이 지나면서 줄어들게 되며 통증이 심하다면 진통제에서 통증을 줄일 수 있습니다. 또한 점액낭을 제거한 부위를 자극하지 않는 것이 좋습니다.