아하
  • 토픽

  • 스파링

  • 잉크

  • 미션


의료상담

때론풍성한들쥐

때론풍성한들쥐

잇몸 질환은 겉으로는 티가 나지 않는건가요?

처음에는 이빨하나가 시리길래 잠깐 그런거겠지 했는데

2주정도 돼니까 앞니전체가 시리고 가만있어도 욱씬거립니다. 거울로 여로모로 살펴 봤는데 충치도 없고 부은 것 같지도 않은데 잇몸 속에 문제가 생긴 걸까요?

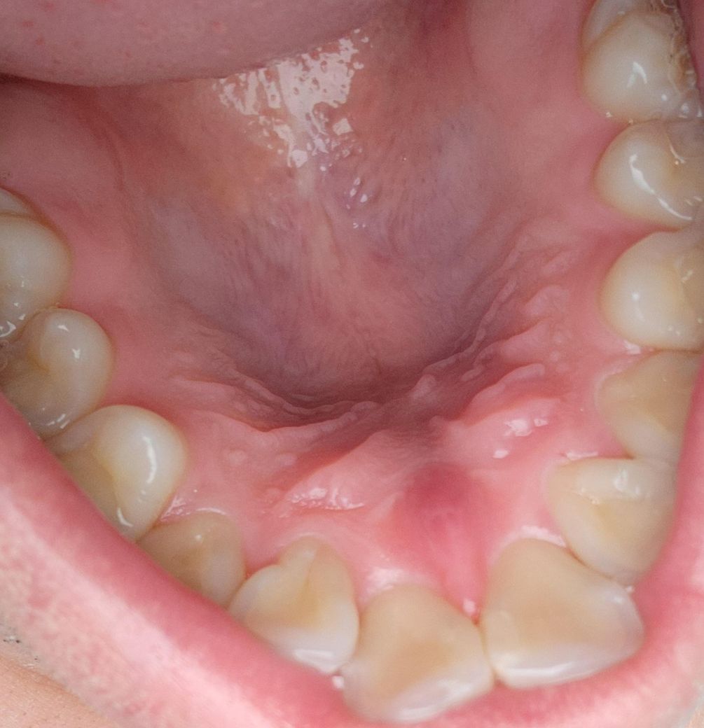
  • 1번 째 사진

4개의 답변이 있어요!

  • 송우식 치과의사

    송우식 치과의사

    솔플란트치과 경기도 성남시 모란역

    안녕하세요. 송우식 치과의사입니다.

    사진으로 보아 정상적인 잇몸과 치아 상태로 보입니다. 계속 시리다면 일단 치과에 가서 스켈링 받기를 권합니다. 스켈링 받으면 시린 것 대부분 없어집니다.

  • 안녕하세요. 김철진 치과의사입니다.

    잇몸에 염증떄문에 그럴수도 잇으니 치과에 가셔서 스켈링 및 잇몸치료를 받아보시는게 좋을것같습니다.

  • 안녕하세요. 최석민 치과의사입니다.

    잇몸질환의 증상으로는 잇몸부종, 출혈 등이 있을 수 있고 그 외에도 잇몸 통증, 치아시림, 구취 등이 동반되기도 합니다

  • 안녕하세요. 김지훈 치과의사입니다.

    사진에는 특별히 문제가 보이진 않지만 증상이 느껴진다면 치과에서 검사 받아보시는 게 좋겠습니다.