의료상담
55글자 더 채워주세요.
3개의 답변이 있어요!
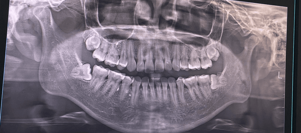
안녕하세요. 송우식 치과의사입니다.
왼쪽 아래 사랑니는 수평 매복 사랑니로 치아를 부수고 뼈도 삭제해야 발치할 수 있을 것으로 보입니다.
왼쪽 위의 사랑니도 매복되어 뼈삭제 할 수도, 혹은 하지 않고 할 수도 있습니다.
안녕하세요. 김철진 치과의사입니다.
저정도면 뼈삭제를 하더라도 많이하지는 않을꺼 같습니다 치아를 쪼개서 일단은 빼볼것같습니다.
안녕하세요. 김지훈 치과의사입니다.
잇몸 밖으로 보인다하더라도 잇몸을 열었을때 뼈가 사랑니를 덮고있으면 뼈삭제를 해야합니다

