충치 치료 이게 맞는 진단인건가요??
안녕하세요 치아에 관해 큰 돈이 깨진 기억이 있어 꾸준히 3개월마다 간단한 검진을 진행해 왔습니다.이번에도 마찬가지로 3개월 가량이 되어 스케일링 및 검진을 위해 최근 개원한 치과에 초진을 보러 갔고 엑스레이 사진 상 왼쪽 위 앞쪽 뒷쪽 어금니에 인레이 치료 두 개 오른쪽 아래에 치아 마모된 부분은 레진 치료 진행해야 한다고 하시더군요
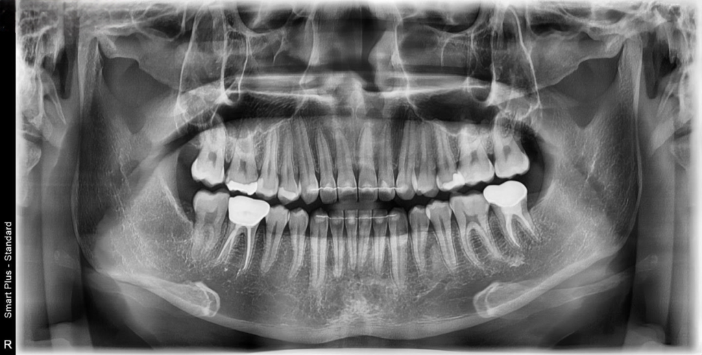
치아 번호로 말씀드리면 24번 27번 인레이 치료(필수) + 25,26번 레진(인레이 치료 도중 충치 발견시 레진 치료 가능성 높음) + 45번 치아 마모된 부분 레진 치료 이렇게 진단을 받았습니다.
제가 따로 보험도 없고 현재 복무중인 입장이라 한 달 월급보다 더 큰 비용이 치과로 나가야 한다는게 너무 두렵네요 ㅠㅜㅜ
3개월 마다 검진 및 스케일링도 꾸준히 관리 했는데도 충치가 발견되어서 속상합니다.
충치 치료에 관한 조언과 이 치아를 관리로 최대한 살려볼 수 는 없을지 아하 전문가님들의 조언을 구하고자 글 작성합니다.
참고로 위 치아들에서 통증은 전혀 느껴지지 않았고 45번 치아에 치과 바람 기계? 쏠 때만 시림을 느꼈습니다.
두서 없는 글 읽어주셔서 감사합니다 ( __ )
안녕하세요. 김주혁 치과의사입니다.
파노라마 사진만 가지고는 정확한 진단이 불가능 하기 때문에
환자분이 다른 치과에도 내원하여 동일한 치료를 받아야 하는지 상담을 통해 비교가 가능하며
한번에 치료 받는게 부담스러운 경우 급한 치료 부터 순차적으로 받는 것이 좋습니다
안녕하세요. 김철진 치과의사입니다.
엑스레이 상으로만은 정확히 판단은 어렵지만, 26, 27번사이에 약간 충치가 잇어 보이긴합니다. 24번은 치아가 겹쳐 보여서 엑스레이 상으로는 확ㅇㄴ이 어렵네요. 그리고 45번의 경우는 시리다면 치경부 치료를 하시는게 좋습니다.

