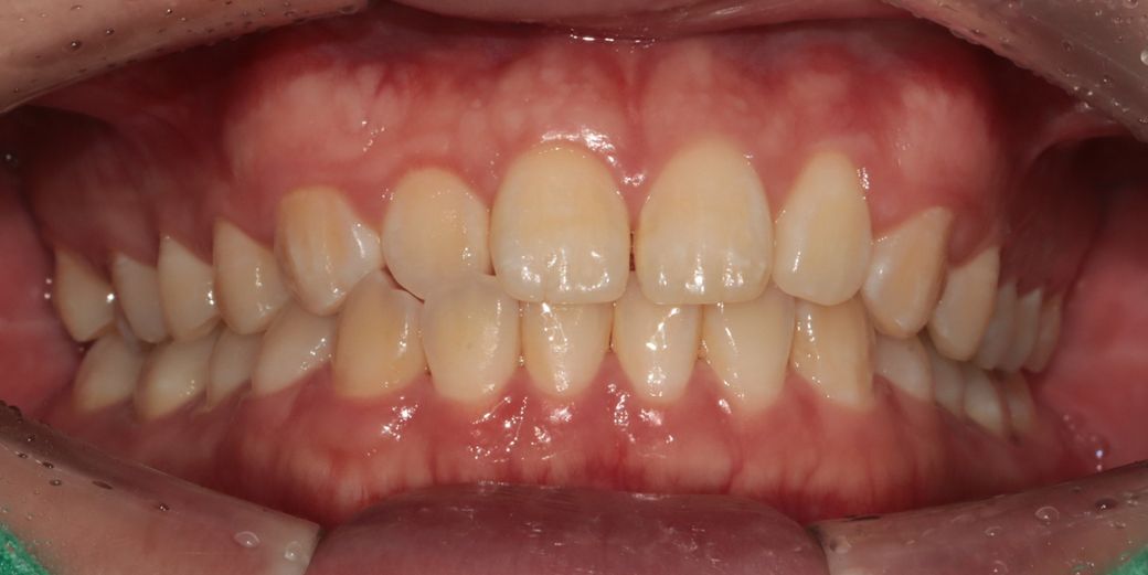
턱이 왼쪽으로 canting 되어있어도 어금니 교합이 맞을수 있나요?
턱이 왼쪽으로 비대칭이 약간 있는데 그래도 어금니 교합이 맞을수있나요?
주관적인 생각으로 약간 아랫뼈? 치아?들이 전체적으로 왼쪽으로 이동한 느낌인데 이러면 어금니 교합도 틀어지지않나요?
사진상 왼쪽어금니들은 윗아래 옆면 딱붙는 느낌이면
오른쪽은 옆면이 공간이 남는 느낌? 입니다
-현재 제 교합이 정상적인건지 궁금합니다
-보통의경우 저렇게 아래뼈가 전체적으로 왼쪽으로 이동 안 되어 있지않나 해서 물어봅니다
어떨때는 잘맞는것 같기도 하고 어떨때는 잘안맞는것 같기도 해서 질문드립니다
안녕하세요. 정진석 치과의사입니다.
일전에도 문의주신 것으로 기억합니다. 현재 좌측으로 canting 되어 있으나 이는 사람에 따라서는 치료의 대상이 아닐 수도 있습니다. 모든 사람은 양쪽으로 모두 대칭인 수평인 경우는 거의 없으며 한쪽으로 canting되어 있는 경우가 많습니다. 이때 canting 범위에 따라 정상일 수도 있고 정상이 아닐 수도 있으나 이는 본인이 심미적으로 전혀 문제가 되지 않는다고 본다면 치료를 하지 않아도 됩니다.
현재 교합이 완전하다고 할 수는 없습니다. 따라서 교정적인 힘으로 치열을 바꿀 수는 있어 보여도 상당히 어려운 과정을 거쳐야할 것으로 보이며 교정 전 후가 크게 달라지지 않을 수 있어 보입니다. 발치 교정도 현재로서는 애매하고 비발치 교정에도 한계가 있어 보입니다. 즉 정상범주에서 특별히 많이 벗어나는 것이 아니라는 것입니다.
아무쪼록 저의 답변이 문제 해결에 작게 나마 도움이 될 수 있기를 기원드립니다. 항상 건강하고, 행복하세요^^
정진석 치과의사 드림
안녕하세요. 김철진 치과의사/경제·금융전문가입니다.
이상적인 교합이면 가장좋겠지만, 작성자님의 상태의 교합이 크게 문제가 되어 보이진 않습니다. 다만, 기능적으로 문제가 있다면 교정을 고려해보셔도 되지만, 기능상으로 크게 문제가 없다면 그냥 지내셔도 상관없을것같습니다.

