고정식유지장치 재제작 및 가철식 유지장치만들어야 해야할까요?
교정이 끝난지는 10년 되었습니다.
7일 아랫니 고정식유지장치 한곳이 끊어져
치과에서 그부분만 제거하고 11일에 다시 본뜨고 다시 제작하여 새로 부착하기로했습니다.
이치과에서 교정을 한게 아닌데..감사하게도 해주시겠다고해서 찾아갔습니다.교정한 치과는 정말 너무멀어 갈수있는 형편이 되질않아 못갑니다..ㅠ
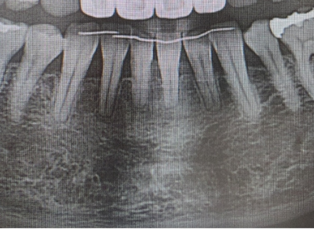
10년이나 지나서 그런지 이미 치열은 틀어졌습니다.
치아 뿌리도 너무 짧구요
블랙트라이앵글도 심합니다
잇몸도 내려갔습니다.ㅠ
유지장치 재부착하셨던 분들이 올린글을 찾아보니
재부착하고 많이들 아프고 힘들고 안좋아졌단글을 보아 불안한 마음에 ㅠ 이렇게 도움 구해봅니다.
교정 끝날때 아랫니쪽은 가철식 유지장치를 주지않았습니다 아랫니는 필요없다구요..ㅠ
그래서 가철식은 없습니다.
제가 궁금한것은.
1.치아 뿌리도 너무짧고 이런데..고정식유지장치 제거하고 본뜰때 이가 뽑히진 않겠죠?
2. 유지장치 제거하고 고정식유지장치가 나오기전까지 일주일은 임시로 투명장치 주신다고했는데 그렇게 하고 있는동안
치아가 빠지거나ㅠ흔들거리거나 입술쪽으로 밀리거나 ㅠ 그래서 윗니와 아랫니가 닿을까바 너무 불안합니다.
ㅠ 괜찮을까요?ㅠ
3. 고정식유지장치를 지금 이상태로 놔두고 가철식 유지장치만 새로 맞춰 끼고 있어도 괜찮을까요?
4.다시 본뜨고 재제작해서 붙이면..ㅠ
여기서 더 잇몸퇴축과 뿌리가 더 짧아셔서 흔들리고 뽑힐까바ㅠ
이게 제일 두렵고 무서워서요 ㅠ
그러진 않겠죠? 괜찮겠죠?
새로 고정식유지장치 재부착하고 가철식유지장치도 새로 맞추는게 좋을까요? ㅠ
지금 유지장치 해주신다는 치과는 ㅠ원장님께서 너무 바빠보이시고ㅠ 괜히 이런거 얘기하면 안해주실까바 ㅠ 선뜻 못물어 보았습니다.ㅠ
제가 사는 지역에서 유일하게 유지장치 붙여준다하신 곳이여서 ㅠㅠ 감사한곳입니다ㅠ😭
치열이 여기서 더 틀어져서 윗니와 닿을까바 제일 걱정이고ㅠ
치아가 흔들리고 뽑힐까바 ㅠ 너무 걱정입니다ㅠ
이상태에서 더 나빠지지만 않음 좋겠어요ㅠ
치아때문에 너무 힘듭니다..ㅠ
안녕하세요. 김철진 치과의사입니다.
1.치아 뿌리도 너무짧고 이런데..고정식유지장치 제거하고 본뜰때 이가 뽑히진 않겠죠?
- 치아가 그렇게 쉽게 뽑히진 않습니다. 너무 걱정하지 마세요
2. 유지장치 제거하고 고정식유지장치가 나오기전까지 일주일은 임시로 투명장치 주신다고했는데 그렇게 하고 있는동안
치아가 빠지거나ㅠ흔들거리거나 입술쪽으로 밀리거나 ㅠ 그래서 윗니와 아랫니가 닿을까바 너무 불안합니다.
ㅠ 괜찮을까요?ㅠ
-일주일안에 문제가 생기진 않으니 이것도 너무 걱정하실껀 아닙니다.
3. 고정식유지장치를 지금 이상태로 놔두고 가철식 유지장치만 새로 맞춰 끼고 있어도 괜찮을까요?
- 고정식 유지장치를 두고 하셔도 되지만, 그렇게 두개를 동시에 하실필요는 없을꺼 같습니다.

