아핫뉴스실시간 인기검색어
아핫뉴스 화산 이미지
화산 아이콘 11
비트코인 연간 마이너스
아하

의료상담

치과

탈퇴한 사용자
탈퇴한 사용자

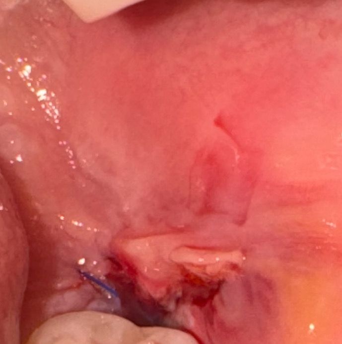
사랑니 발치했는데 찢어진거같아요ㅜㅜ

목요일에 사랑니 발치했는데 괜찮다가 어제 저녁부터 갑자기 욱신거리고 피도 좀 나는거같아요 볼이 부어서인지 볼 안쪽 살 계속 씹히고ㅠ상처도 난거같은데 이거 원래 이런가요? 붓기도 너무 심해요 붓기 대체 언제빠지나요? 밖에 돌아다니기 쪽팔릴정도로 부었어요

  • 1번 째 사진
  • 2번 째 사진
  • 3번 째 사진
  • 4번 째 사진
4개의 답변이 있어요!
  • 안녕하세요. 최석민 치과의사입니다.

    씹어서 생긴 상처 같고 붓기는 보통 3일차 정도까지는 심합니다. 처방약 복용하시고, 냉찜질 해주시기 바랍니다.

    1명 평가
  • 안녕하세요. 김철진 치과의사입니다.

    발치를 한곳 잇몸이 아직 아물지 않아서 그럴수 있습니다. 크게 문제가 잇는건 아니니 최대한 자극이 가지 않도록 해주시면될것같습니다.

    1명 평가
  • 안녕하세요. 송우식 치과의사입니다.

    사랑니 발치 후 붓기와 통증이 나타날수 있으며, 붓기나 발치 부위 주변의 상처로 인해 볼 안쪽 살이 씹히는 증상이 나타날수 있습니다. 발치 후 붓기가 생기면 입 안쪽에 여유 공간이 줄어들어 볼이 상처에 찔리거나 씹힐 수 있습니다.

    붓기가 심한 경우 냉찜질을 하는 것이 도움이 되며, 소염진통제 복용이 통증 및 염증개선에 도움이 됩니다. 하지만 해당부위가 붓기나 출혈이 3일 이상 지속되거나, 심각한 통증이 동반될 경우 치과 진료를 받고 상태를 확인하길 권합니다.

    만족스러운 답변되셨으면 합니다.

    <평가> 감사합니다.

    1명 평가
  • 안녕하세요. 김지훈 치과의사입니다.

    사랑니를 발치하기 위해서 잇몸 절개를 할 수 있으며 특별히 문제가 될 것은 없는 것 같습니다.