아핫뉴스실시간 인기검색어
아핫뉴스 화산 이미지
화산 아이콘 11
정청래 통일교 특검 비판
많이 본
아하

의료상담

치과

탈퇴한 사용자
탈퇴한 사용자

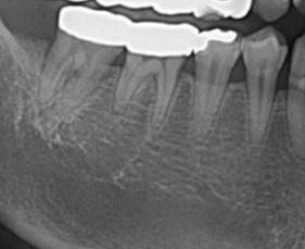
확인부탁드립니다. 아무리봐도 과잉같아요

아무리찾야봐도 뼈가녹은것같지도 염증이잇는것같지도않은데

흔들리는게 눈에띄기는하지만

피곤할때빼고 아쁜적이없는데 제가 발치얘기를빼면 대부분 신경치료를얘기하시는것같은데

치아뿌리에 금이갓다는얘기는못들엇고. 사랑니뽑은이후로 영향을받은것같다 옆치아에 영향주기전에 발치하자합니다 과잉진료인가요,,,?

흔들리는진단은 10년전에도 받은적이잇어요 오른쪽 맨끝 신경치료안한 어금니에요

  • 1번 째 사진
  • 2번 째 사진
  • 3번 째 사진
2개의 답변이 있어요!
  • 안녕하세요. 최석민 치과의사입니다.

    이미 거기 치과는 ct도 찍고, 임플란트로 계획을 잡은것 같네요 치료계획에 공감대 형성되지 않으신다면 다른 치과, 대학치과병원 가보세요 여기서 과잉진료다 라고 판단해줘도 그 치과에 가서 따지거나 할 순 없답니다

    1명 평가
  • 안녕하세요. 김지훈 치과의사입니다.

    뼈는 녹아 있는 것이 확인됩니다. 치아를 살리시고 싶으시면 잇몸치료 선행해보셔도 괜찮습니다.