아하
  • 토픽

  • 스파링

  • 잉크

  • 미션


의료상담

대체로놀라운단풍나무

대체로놀라운단풍나무

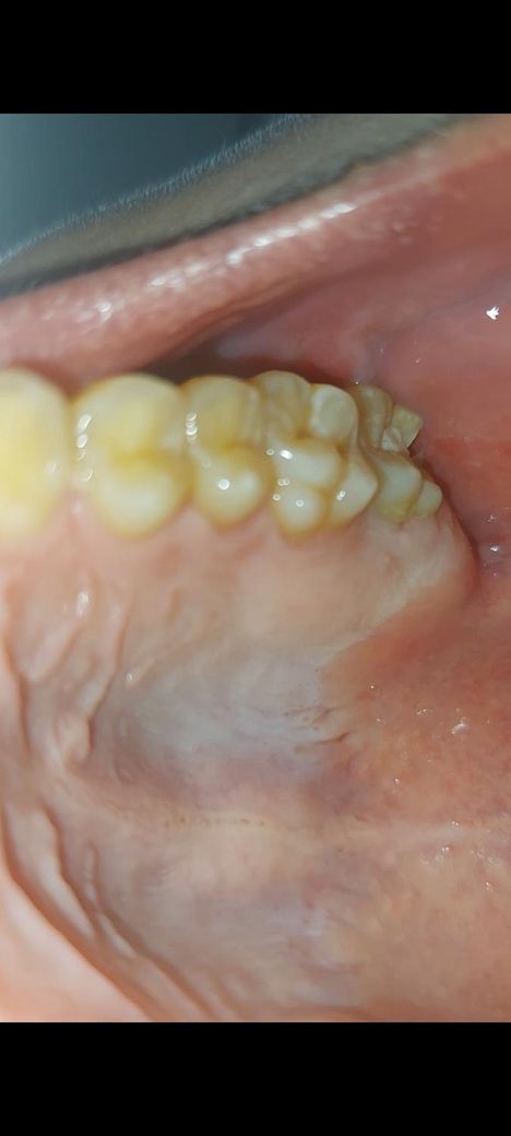
치아 깨짐 많이 심각한가요? (사진 o)

밥먹다가 윗니가 많이 뾰족해진 거 같아서 신경쓰여서 혀로 자꾸 만지작거리다가 부러지는 느낌과 함께 이빨 조각이 부러져나왔습니다. 휴대폰으로 찍어보니 저렇게 돼있더라고요.

치과를 가긴 할 건데 내일 아침에 당장 가야할 정도로 심각한가요? 아니면 금요일에 스케쥴 맞춰서 가도 괜찮을 정도인가요.

그리고 저 부분으로 음식을 씹거나 양치를 해도 괜찮은지도 궁금합니다.

  • 1번 째 사진

4개의 답변이 있어요!

  • 김철진 치과의사

    김철진 치과의사

    가까운우리치과

    안녕하세요. 김철진 치과의사입니다.

    사진상에서 가장 뒤쪽 치아가 깨진거 같습니다. 정확한건 엑스레이도 찍어보고 증상유무도 판단을 해보셔야될것같습니다.

  • 안녕하세요. 안상우 치과의사입니다.

    사진으로 봤을 때는 맨 뒤에 있는 치아 뒤쪽으로 치아가 깨진 것으로 보입니다. 치아가 깨졌을 경우 충치가 원인이라면 충치를 치료해야 하며 치아를 씌워줘야 하는 경우도 발생할 수 있습니다

    자세한 확인을 위해서 치과에서 진료를 받아보는 것을 권유드립니다.

  • 안녕하세요. 최석민 치과의사입니다.

    깨진 치아 부위로 음식을 씹지는 마시기 바랍니다. 시린 증상이 없다면 해당 부위 양치를 해도 크게 상관은 없습니다. 바로 치과를 가보세요

  • 안녕하세요. 김지훈 치과의사입니다.

    깨진 범위가 커 보이기는 하지만 증상이 없다면 금요일에 스케쥴 맞춰서 가도 괜찮을 정도입니다.