치아 교정만 해도 효과가 있을까요??
안녕하세요
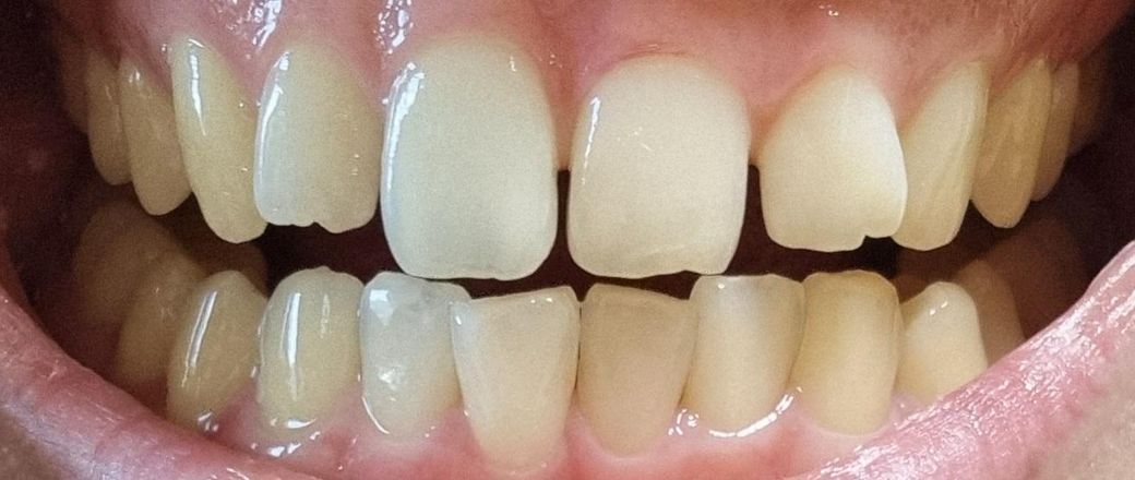
20대 후반인데 치열이 고르지 않고 치아 크기도 제각각으로 달라서 스트레스입니다.
라미네이트나 크라운은 웬만하면 치아삭제를 해야 한다고 들었고 부작용도 많아서 최대한 피하고 싶은데요..
다른 방법은 없을까요?
만약 교정만 한다고 하면 들이는 시간과 비용 대비 만족할만한 효과가 있을까요? 치과 가서 상담 받아보긴 할건데 여기 치과 의사 선생님들이 보기에 기대효과가 어느정도로 보이는지 궁금해서요. 라미네이트가 답인 치아인가요?
고민이 많이 되네요ㅜㅜ
안녕하세요. 송준범 치과의사입니다.
심미적인 목적만으로 라미네이트를 하는건 추천드리지않습니다. 보철물이 영구적인 것도 아니고 보철물과 치아 사이에 틈이 없을수가 없기에 충치나 잇몸염증이 생길 가능성도 있습니다.
다만 심미적인 것에 초점을 맞추자몀 아랫니는 공간이 모자라 교정을 하시는게 낫고 위쪽은 공간이 어느정도 있어 교정으로 치열을 어느정도 고르게 할 수 있지만 치아의 좌우 비율과 크기가 달라 라미네이트나 레진으로 마무리를 해야 원하시는 결과가 나올겁니다.
1명 평가안녕하세요. 김철진 치과의사입니다.
치열이 좋지 않다면 라미네이트 보다는 교정을 하시는게 더 좋을것같습니다. 교정상담을 먼저 받아보세요.
안녕하세요. 안상우 치과의사입니다.
교정 치료를 하게 되면 치아를 가지런하게 배열을 할 수 있습니다. 전체적인 교정의 경우에는 보통 어떤 2년 정도 걸리게 되며 교정 치료의 경우에는 건강보험의 적용되지 않기 때문에 병원마다 치료 비용의 차이가 있을 수 있습니다
자세한 확인을 위해서 치과에서 진료를 받아보는 것을 권유드립니다.
안녕하세요. 최석민 치과의사입니다.
라미네이트로 손보기에는 다수의 치아가 관계될 것 같으나 교정치료 역시 한계점, 긴 치료기간, 부작용도 있습니다. 교정치료의 부작용을 감안하신다면 교정치료가 좀 더 비침습적인 치료일 순 있겠습니다.
안녕하세요. 김지훈 치과의사입니다.
치아의 형태를 봤을 때 라미네이트도 효과가 좋아보이며 레진을 이용하여 수복하기도 합니다.

