의료상담
잇몸퇴축 또.. 여쭤보러 왔습니다. 죽겠습니다. 치은염? 치주염? 초기 증상인가요?
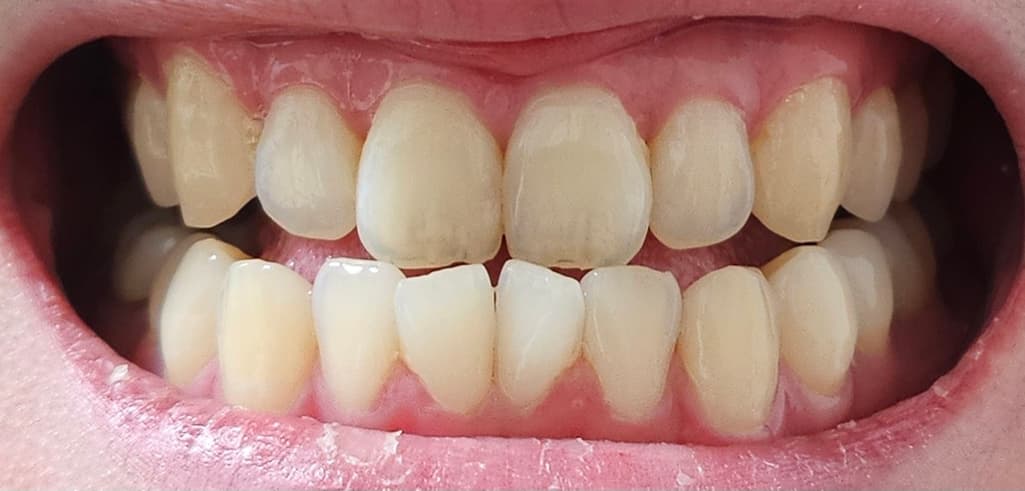
이건 전에 찍은거
이게 오늘 입니다. 파란 동그라미 친 부분 공간 없었던거 같은데 오늘보니까 심합니다. 빈곳간이 생겨서요. 죽겠어요. 잇몸 위에까지 얼마 안남았는데 이제 이식 곧 해야합니까? 20대 후반인데 벌써요?? 어금니 전용 칫솔로 사이를 닦는데 그 방향대로 깎인거 같기도 해서 더 살살 일자로만 닦기 시작했는데 어떻하죠? 스케일링 했습니다.
비타민 좋은거나 방법이 더 없을까요? 약이라거나 제발 치과의사쌤들끼리 쉬쉬하는 비법있음 알려주시면 안되나요? 요청하심 삭제해드릴 게요 제발
55글자 더 채워주세요.
3개의 답변이 있어요!
안녕하세요. 안상우 치과의사입니다.
사진으로 봤을 경우에는 잇몸에 염증이 보이진 않습니다 또한 송곳니에 있는 부위는 잇몸이 더 올라가 있을 수 있기 때문에 큰 문제가 되는 것으로 보이지는 않습니다 자산 확인을 위해서 치과에서 진료를 받아 보세요
안녕하세요. 김지훈 치과의사입니다.
주기적으로 스케일링 받으시고 잇몸관리 받으시면 됩니다. 잇몸이식이 필요해보이진 않습니다
안녕하세요. 김철진 치과의사입니다.
저정도는 크게 문제가 잇는건 아닙니다. 음식물이 끼시면 치실이나 치간칫솔로 제거를 해주시면됩니다.

