아핫뉴스실시간 인기검색어
아핫뉴스 화산 이미지
화산 아이콘 11
정철원 이혼설 불거져
아하

의료상담

치과

투명한박쥐245
투명한박쥐245

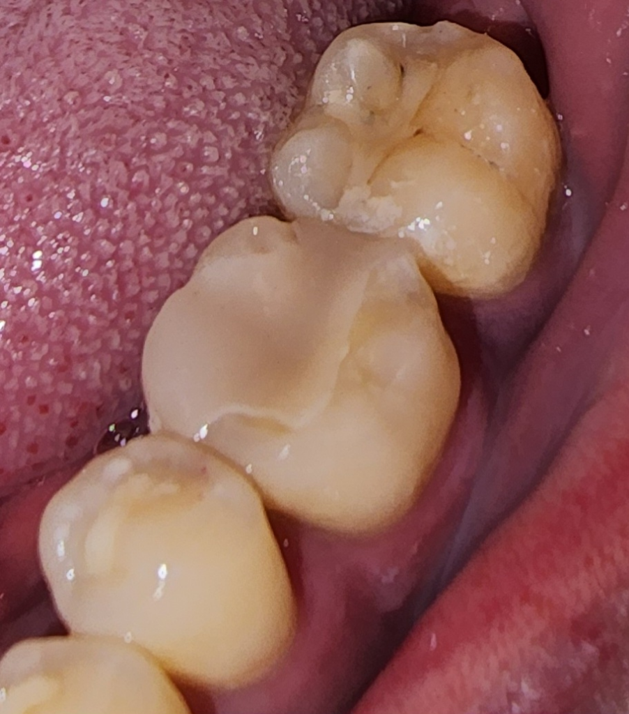
몇일전에 인레이치료 받았는데 마감이...(사진주의)

네이버 인레이한거 사진보면 아주 깔끔하게들 하셨던데. 저는 단차가 있는거 같고 좀지저분한게 된거 같아 문의드려요



이정도면 잘된건가요?








  • 1번 째 사진
  • 2번 째 사진
3개의 답변이 있어요!
  • 안녕하세요. 정진석 치과의사입니다.

    현재 보여주신 사진은 인레이라기 보다는 온레이에 가깝다고 보시면 됩니다. 즉 단순히 교합면(씹는면)이 아니라 치아의 다른 외형까지 손상되어 한 것으로 보여집니다. 아마 색상 차이로 인하여 훨씬 지금과 같은 생각이 드실 수 있는데 단차가 난다면 다시 해야 하는 것이 맞습니다. 즉 치과 기구로 긁었을 때 자연치와 해당 온레이에 긁히거나 턱이 진다면 다시 제작해야 합니다.

    아무쪼록 저의 답변이 문제 해결에 작게 나마 도움이 될 수 있기를 기원드립니다. 항상 건강하고, 행복하세요^^

    정진석 치과의사 드림

  • 안녕하세요. 김철진 치과의사입니다.

    사진상으로 보면 인레이 와 치아공간이잇어 보이긴합니다. 치과에 가셔서 다시한번 체크를 받아보시는게 좋을것같습니다.

  • 탈퇴한 사용자
    탈퇴한 사용자

    안녕하세요. 장인아 치과위생사입니다.

    단차가 있는것같고 불편하다면 치과방문해서 확인하면 좋을것같습니다.

    도움이 되기를 바랍니다. 건강하세요.