아핫뉴스실시간 인기검색어
아핫뉴스 화산 이미지
화산 아이콘 11
비트코인 15만달러 전망
아하

의료상담

치과

정말심오한짬뽕
정말심오한짬뽕

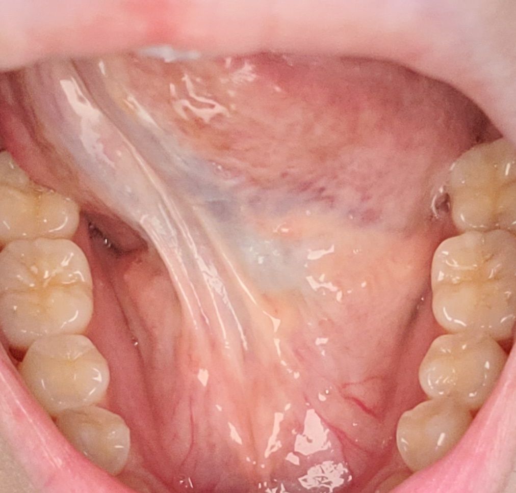
설암으로 보이는 백반증이 혀밑에 있어요 도와주세요ㅜㅜ

언제부터 있엇는진 모르겠는데 며칠전 확인해보니 혀 밑부분이 전체적으로 하얗게얼룩이 있고 3번째 사진처럼 혀밑 윗부분에도 얼룩이 있습니다 통증은전혀 없는데 저거 발견한 이후로 갑자기 혀가붓고 얼얼한느낌(아프진안음)도나요ㅜㅜ담배술은전혀안해요ㅜㅜ도와주세요 설암일확률 높나요

  • 1번 째 사진
  • 2번 째 사진
  • 3번 째 사진
  • 4번 째 사진
  • 5번 째 사진
3개의 답변이 있어요!
  • 사진으로 봤을 경우에는 큰 문제가 있어 보이진 않습니다 너무 걱정하지 않으셔도 될 것으로 생각됩니다 걱정이 되신다면 치과에서 구강내과라는 과에서 진료를 받아보면 도움이 됩니다

  • 설암의 양상으로 보이진 않습니다 걱정하시는 악성병소의 양상은 보통 출혈, 궤양, 불분명한 경계 등의 특징이 있습니다 구강내과에서 생검을 통해 보다 더 자세하게 확인해볼 수 있을 것 같습니다

  • 현재 사진으로는 설암일 가능성은 거의 없으며, 통증 및 불편감이 있는 경우 우선 소독용 가글인 헥사메딘 가글액으로 가글하여 주길 권합니다. 통증 및 감각 이상 지속시에는 치과 진료를 받길 권합니다.

    궁금증 해소에 도움이 제 답변이 도움이 되셨길 바라며, '👍' 눌러주시길 부탁드립니다.