아하
  • 토픽

  • 스파링

  • 잉크

  • 미션


의료상담

특히지지받는추어탕

특히지지받는추어탕

어금니가 안올라오고 누웟어요 세울수잇나요

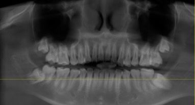
엑스레이 사진 오른쪽 아래어금니가 앞에 이를 누르고 위로 안나오는 상태인데 누운 어금니를 올리는 치료 할수 있을까요? 발치말구요..2010년생이에요

  • 1번 째 사진

4개의 답변이 있어요!

  • 김지훈 치과의사

    김지훈 치과의사

    메가

    안녕하세요. 김지훈 치과의사입니다.

    치아가 누워서 자라는 경우에는 수술적인 방법과 교정적인 방법을 이용하여 세울 수 있습니다.

  • 안녕하세요. 안상우 치과의사입니다.

    사진으로 봤을 경우에는 이미 깊게 들어가 있는 것으로 보입니다. 또한 앞의 치아에 걸려 있기 때문에 상부로 올리는 것은 힘들 것으로 생각됩니다.

    자세한 확인을 위해서 치과에서 진료를 받아보는 것을 권유드립니다.

  • 안녕하세요. 김철진 치과의사입니다.

    사진에 보이는 치아는 수술적으로 치아에 버튼을 달아서 교정적으로 정출을 하는 치료를 하셔야될것같습니다.

  • 안녕하세요. 최석민 치과의사입니다.

    치아가 그냥 누워있을 뿐만 아니라 옆 어금니 뿌리도 녹이고 있어서 상황이 좋지 않습니다 저 치아만 단독으로 세우는 건 큰 의미가 없고 왼쪽 아래 전반적으로 치료계획을 세워보면 좋을 것 같습니다