아핫뉴스실시간 인기검색어
아핫뉴스 화산 이미지
화산 아이콘 11
김건희 주가조작 무죄
아하

의료상담

치과

매일말랑말랑한감자탕
매일말랑말랑한감자탕

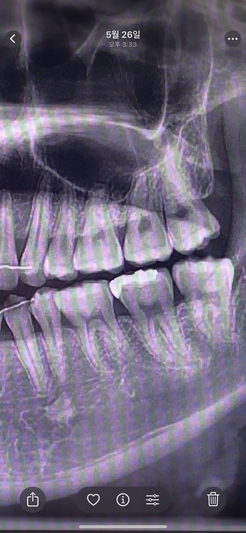
금인레이 엑스레이 2차충치인지 알고싶습니다..

금인레이 한지 6년됐습니다..엑스레이를 찍었는데 금인레이 밑에 작은 검은구멍이 있더라구요 혹시 충치일까 궁금해서 여쭤봅니다. 치과치료할때 아무말없긴했습니다!

  • 1번 째 사진
3개의 답변이 있어요!
  • 안녕하세요. 김철진 치과의사입니다.

    엑스레이 상으로는 크게 문제가 잇어 보이진 않습니다. 씹는면은 교모가 되면서 구멍이 생겻을 수도 있습니다.

    1명 평가
  • 안녕하세요. 안상우 치과의사입니다.

    사진으로 봤을 경우에는 큰 충치가 보이진 않습니다. 금 인레이를 한 치아 주변에 검은색 보인다면 착색이 되었을 가능성이 있습니다. 초기 충치의 경우에는 엑스레이에 보이지 않는 경우도 있으니 이런 경우에는 추가적인 치료가 필요할 수 있습니다.

    1명 평가
  • 안녕하세요. 김지훈 치과의사입니다.

    사진상에 나타나는 검은것이 모두 충치는 아니며 접착제나 시멘트 등이 그렇게 보일 수도 있습니다.

    1명 평가