아하
  • 토픽

  • 스파링

  • 잉크

  • 미션


의료상담

배부른동박새157

배부른동박새157

25.05.17

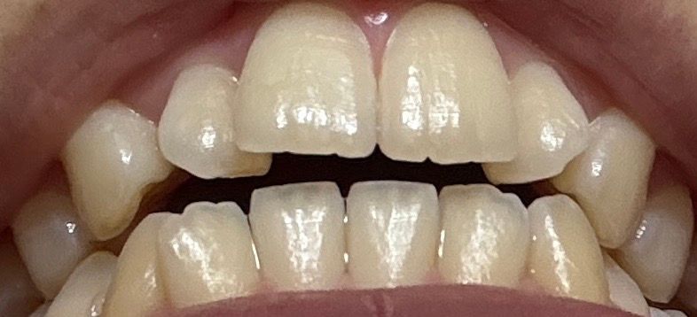
제 치아 개빙교합? 오픈 바이트인가요?

최근 1년간 턱관절이 아프고 입이 잘 안벌려져서 치과를 다니다가 좀 괜찮으면 쉬고 반복했는데요 턱관절이 안좋아진이후로 앞니로 뭔가를 끊어먹질 못해서 아랫니대신 혀를 윗니랑 맞대서 먹고있는데요

제 치아 오픈바이트인가요? 물리치료말고 뭔가를 더 해야할까요?

아래쪽에서 찍은 사진

정면에서 찍은 사진

  • 1번 째 사진
  • 2번 째 사진

3개의 답변이 있어요!

  • 안상우 치과의사

    안상우 치과의사

    목동안치과의원

    25.05.18

    안녕하세요. 안상우 치과의사입니다.

    앞니는 일반적으로 균일하게 닫고 있는 것이 정상적입니다. 치아를 다물었을 때 앞니가 닿지 않는다면 개방 교합일 가능성이 있습니다. 개방 교합은 여러 가지. 원인에 의해서 생기기 때문에 개방 교합이 있다면 교정 치료 등이 필요할 수 있습니다.

  • 안녕하세요. 김철진 치과의사입니다.

    양쪽 어금니를 물엇을때 앞니가 물리지 않는다면 오픈바이트입니다. 양쪽어금니를 음식먹을때 처럼 물어보시고 나서 앞니가 물리는 안물리는지 보셔야될것같습니다.

  • 안녕하세요. 최석민 치과의사입니다.

    양쪽 어금니를 앙 다문 상태에서 위 아래 앞니 사이 공간이 있으면 개방교합입니다 치과가서 지금 턱관절 문제로 일시적인 건지 아니면 원래 치아 각도가 이상한건지 확인해봐야 합니다