아핫뉴스실시간 인기검색어
아핫뉴스 화산 이미지
화산 아이콘 11
비트코인 강화 프로젝트
많이 본
아하

의료상담

치과

영원히매력적인김치만두
영원히매력적인김치만두

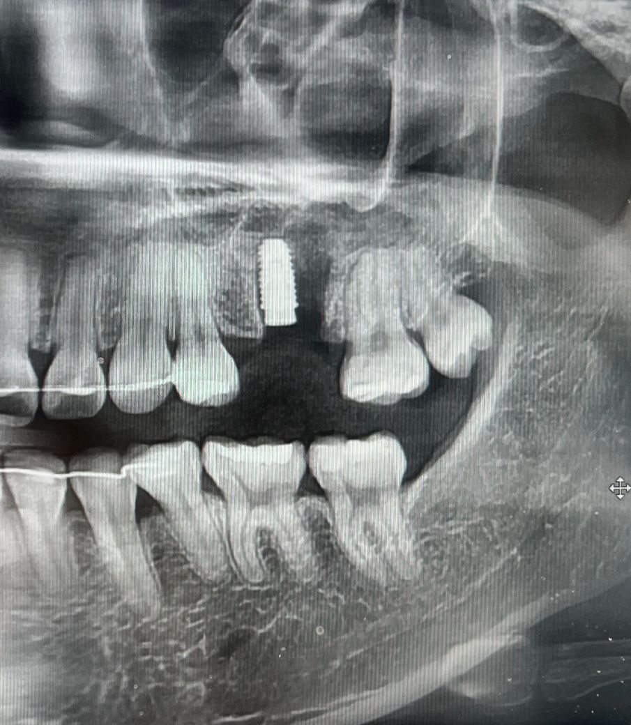
오스템 임플란트 상악동 거상술 식립 후

22일에 제목 그대로 상악동 거상술 했는데 임플란트가 보이지 않는데 원래 이런건가요?? 다른 분들 임플란트 식립한 사진 보면 임플란트가 보이는데 저는 보이지 않아서 걱정돼서요 정상적으로 잘 식립 된건가요?? 안 보이는 경우도 있나요?? 수술 당일 엑스레이와 현재 모습입니다

  • 1번 째 사진
  • 2번 째 사진
4개의 답변이 있어요!
  • 안녕하세요. 안상우 치과의사입니다.

    임플란트는 내부에 깊게 식립되어 보이지 않을수도 있습니다.

    임플란트는 식립후 3개월이 지나 치조골과 유착이 되면 상부에 보철물을 올려서 사용하게 됩니다.

    1명 평가
  • 안녕하세요. 김철진 치과의사입니다.

    임플란트의 고정력이 약한경우에는 임플란트가 뼈에 잘 붙게 하기 위해서 잇몸안쪽에 안보이도록 해놓는경우도 있습니다 .

    1명 평가
  • 안녕하세요. 김지훈 치과의사입니다.

    상악동 수술을 받은 경우에는 임플란트 수술후에 시간이 조금더 지나서 어버트먼트라고 하는 잇몸위로 나오는 구조물을 체결하기도합니다.

    1명 평가
  • 안녕하세요. 최석민 치과의사입니다.

    현재 뼈 안에 임플란트 뿌리를 심어둔 상태이고 그 뿌리의 뚜껑이 잇몸위쪽으로 튀어나오는 치유지대주 종류가 아니라 커버스크류 종류라 그렇습니다. 잇몸안에 있다고 보시면 됩니다.

    1명 평가