기관지협착인가요 기관협착인가요? 아니면 둘다 있나요? 기관지염이 있나요? 기관염이 있나요?

반려동물 종류

강아지

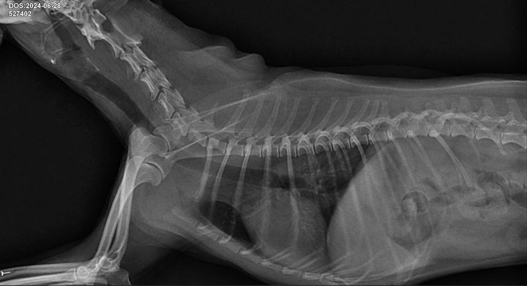
질문1. 기관지협착인가요 기관협착인가요? 아니면 둘다 있나요?

질문2. 기관지염이 있나요? 기관염이 있나요?

질문3. 사진 좌측상단에 날짜부분에 굉장히 좁아보이는데 이부분이 후두인가요? 후두가 부어있는건가요?

질문4. 약간의 기도협착이 있나요?

질문5. 협착과 염 상태가 어느정도인지 상중하로 알려주시면 감사하겠습니다

1개의 답변이 있어요!

  • 안녕하세요. 이은수 수의사입니다.

    1. 기관 혹은 기관지 협착은 동적 질환으로 이 사진 한장으로 진단할 수 없습니다.

    2. 있다고 이야기 할 수 없지만 동시에 없다고 말할 수 없는 자료입니다.

    3. 후두이고 부어 있는것은 방사선으로 평가하는게 아니라 육안 평가를 해야 합니다.

    4. 평가할 수 없는 사진입니다.

    5. 평가할 수 없는 사진이기 때문에 알려드릴 정보가 없습니다.

    주치의와 협의하에 기관협착, 기관지염 등을 진단하는 다른 진단검사들을 진행하시기 바랍니다.