아하
  • 토픽

  • 스파링

  • 잉크

  • 미션


의료상담

빈티지한사마귀39

빈티지한사마귀39

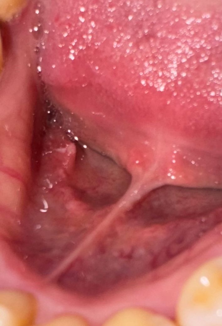
혀 밑에 자꾸 걸리적 거리는게 있어서요

혀 밑에 뭔가 자꾸 걸리적 거려서 봤는데 뭐가 나있긴 한데 딱히 통증 느껴지진 않구요 걸리적 거리는 느낌 일 뿐이에요 염증일까요????? 걸치적 걸리는건 튀어나온거고 옆엔 좀 하얗게 몇개 잇어용

구내염처럼 헌건 아닌거같라오

  • 1번 째 사진
  • 2번 째 사진

2개의 답변이 있어요!

  • 김철진 치과의사

    김철진 치과의사

    가까운우리치과

    안녕하세요. 김철진 치과의사입니다.

    혀밑이 자극을 받아서 생긴 수포 같습니다. 큰 문제가 잇는건 아니니 너무 걱정하지 않으셔도 될것같습니다. 최대한 자극이 가지 않도록 해주시는게 좋습니다.

  • 안녕하세요. 최석민 치과의사입니다.

    사진을 보면 신경쓰이시는 부위는 혀 밑에 있는 지방샘, 림프종과 관련된 구조일 것 같은데 구강내과가서 한번 검사받아보시기 바랍니다.