아하
  • 토픽

  • 스파링

  • 잉크

  • 미션


의료상담

대단히흥미로운스시

대단히흥미로운스시

치과에서 엑스레이 촬영하고 궁금증이 생겼습니다 + 사랑니 질문

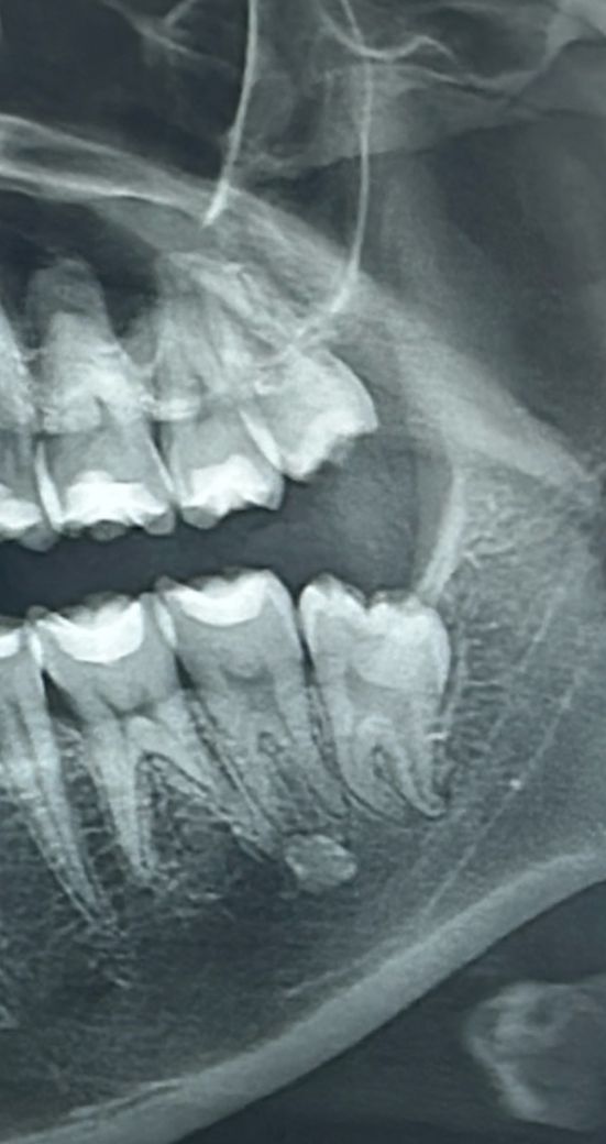
오늘 치과 방문해서 엑스레이 찍었는데 사진을 다시 보니 사랑니 앞 어금니 밑에 뭔가 보이네요… 치과에선 별말씀 없으셨는데 문제되는 건 아닌가요? 그리고 사랑니 발치 후 윗 부분 사랑니는 미발치 상태라 발치한 부분이 헐고 있는 게 느껴지는데 일반적인 경우인가요?

  • 1번 째 사진

3개의 답변이 있어요!

  • 안상우 치과의사

    안상우 치과의사

    목동안치과의원

    안녕하세요. 안상우 치과의사입니다.

    치조골 주변에는 특정 부위의 치조골이 밀도가 높은 경우가 있습니다. 그런 상황에서 저런 형태로 보이기 때문에 크게 문제가 되지는 않습니다.

    자세한 확인을 위해서 치과에서 진료를 받아보는 것을 권유드립니다.

  • 안녕하세요. 김철진 치과의사입니다.

    사진에 보이는건 큰 문제가 잇는건 아니고 치아 밑 잇몸뼈가 다른사람보다 단단히 뭉쳐 잇는거라고 생각하시면됩니다.

  • 안녕하세요. 최석민 치과의사입니다.

    1. 엑스레이 양상으로는 idopathic sclerosis로 치료가 필요하거나 하지 않습니다. 그냥 두시면 됩니다. 원인을 특정하기 어려운 치조골의 반응으로 생각하시면 됩니다.

    2. 위 사랑니도 불편하다면 빼시면 될 것 같습니다. 보통 위, 아래 사랑니 같이 빼줍니다.