아핫뉴스실시간 인기검색어
아핫뉴스 화산 이미지
화산 아이콘 11
안성기 건강 악화
많이 본
아하

의료상담

치과

하이hi
하이hi

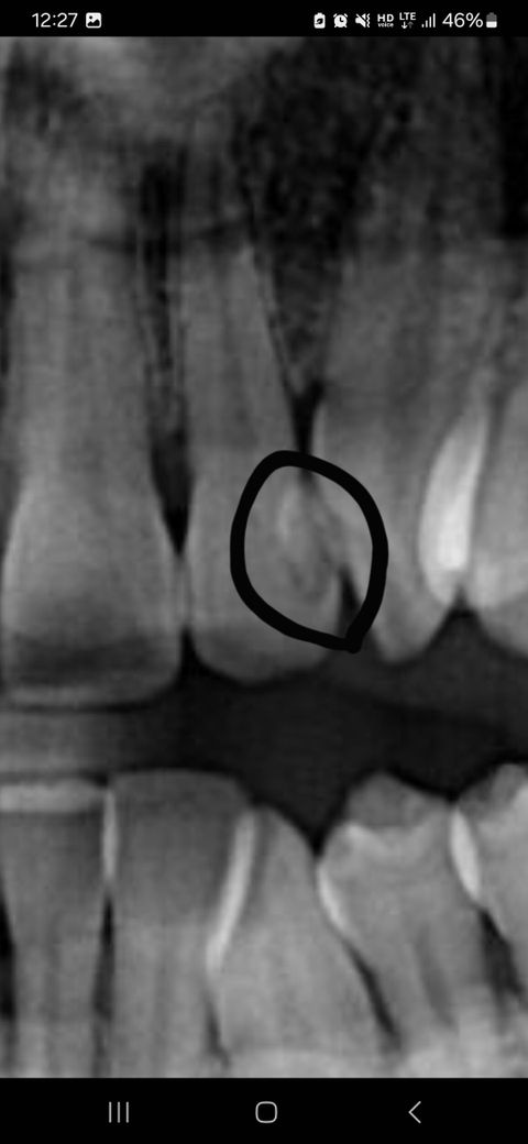
레진으로 떼운 곳에 색깔변화 의미 궁금합니다

안녕하세요

동그라미 표시가 수년전 충치를 레진으로 떼운건데

색상보니 혹시 다시 충치가 생기는건지

아니면 이상없는건지 알고싶습니다

  • 1번 째 사진
4개의 답변이 있어요!
  • 안녕하세요. 송우식 치과의사입니다.

    x-ray 사진만으로는 새로운 충치 생겼는지 확인하기 어렵습니다. 레진 떼운 부위는 x-ray 상에서 색깔이 다르게 나타납니다. 치과에서 육안 검사하는 것이 우선입니다.

  • 안녕하세요. 김지훈 치과의사입니다.

    다시 충치가 생겼을 수도 있어보입니다. 위 사진 하나만으로 판별하긴 어려우니 치과 가보시는 게 좋겠습니다.

  • 안녕하세요. 김철진 치과의사입니다.

    엑스레이 상으로 저렇게 보이는 경우는 안쪽에 레진이 꽉 안찬경우나 본딩제가 엑스레이 상으로 보이는경우가 있습니다.

  • 안녕하세요. 최석민 치과의사입니다.

    레진으로 떼운 건 조금씩 마모되어서 틈이 생기거나 아니면 처음부터 해당 부위가 말끔히 채워지지 않았을 수도 있습니다.