염증 치아 임플란트 즉시 식립
중앙 앞니가 어릴 때 신경치료 후 씌워놨는데
임신 중기에 염증이 생겨 치과 방문 후 신경 치료 후 임시치아로 씌우고 출산 후에 다시 오래서
치과 재방문 하였는데 임시치아 제거 중 치아가 뿌리 가까이 파절되었어요
파절 된 상태로 베드에 30분 정도 누워있다 임플란트 식립 쪽으로 상담을 받고 다시 붙이고 돌아왔는데
그 당일부터 급성 염증이 생겨서 인중까지 부어서
다음날 신경치료 해 놓은 상태로 염증은 어느 정도 가라앉았어요 해당 치아가 뿌리도 살짝 녹아 있는 상태구요
현재 다니는 치과에서 염증 상관없니 당일 즉시 식립을 하자고 하시는데 예후에 안 좋은 거 아닌지 걱정이 되서요
걱정되서 원장님께 염증 있는데 즉시 식립해도 되나요? 여쭤봐도 확고하게 네 라고만 하시고 이유를 모르겠네요
원장님와 얘기 나누기도 힘들고
위생사분께 다시 여쭤봐도 보통 소독은 안 하고 식립한다고 하시는데 정확한 이유를 모르겠어요
실력이 좋으셔서 당일 식립해도 성공할 거라 확신하시는 건지 그냥 빨리 끝내려고 하시는 건지
다른 치과 2-3군데 방문해 보았는데 염증이 있어 발치 후 1-2달 기다렸다 식립하자고 다 그러셨는데
염증이 있어도 임플란트가 부착이 잘 이루어지면 문제가 되지 않는건가요? 염증은 안에서 자연 흡수되거나 하나요?
믿고 계속 다니던 치과에서 치료을 해야하는디
치과를 옮겨야 하는지 고민입니다
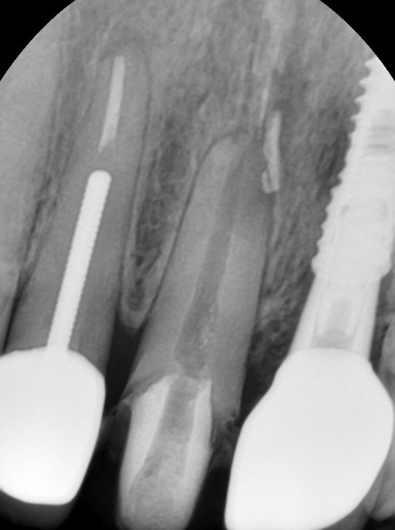
사진 첨부합니다 해당 치아는 임플란트 옆에 앞니입니다
안녕하세요. 김용균 치과의사입니다.
치아를 빼면서 바로 임플란트를 식립하기도 합니다.
보통 염증이 없는 상태의 치아를 뺀경우에 많이 수술합니다.
하지만 염증이 있어도 충분히 제거가 가능한 경우에는 염증을 완전히 제거후 임플란트를 심기도 합니다.
염증 제거에 대한 생각 차이로 기다렸다 심기도 하고 바로 심기도 합니다.
원장님이 염증 제거에 문제가 없을것 같아서 바로 심자고 한것 같습니다.
중요한건 질문자분의 생각입니다.
걱정이 있는 상태에서 치료하는것보다는 믿음이 가는 치과에서 수술하는걸 추천드립니다.
안녕하세요. 정진석 치과의사입니다.
크게 문제가 없을 것으로 생각됩니다. 앞니는 지연식 임플란트 식립시 고려해야할 점이 있습니다. 앞니의 경우에는 생각보다 치조골 흡수가 빨라서 염증이 회복되기까지 기다리게 될 경우에는 치조골이 많이 녹아 주변 잇몸과 조화롭게 치아를 수복하기 힘들 수 있습니다. 이러한 이유로 앞니는 대부분 즉시 식립 임플란트를 하게 되고 해당 정도의 염증으로는 발치만 제대로 이뤄진다면 바로 식립하더라도 문제가 없어 보입니다.
아무쪼록 저의 답변이 문제 해결에 작게 나마 도움이 될 수 있기를 기원드립니다. 항상 건강하고, 행복하세요^^
정진석 치과의사 드림
안녕하세요. 안상우 치과의사/경제·금융전문가입니다.
발치하는 치아 주변에 염증이 있어도 염증부위를 깨끗하게 제거를 한다면 임플란트를 식립하는데는 큰 문제가 없기 때문에 크게 걱정하지 않셔도 될것으로 생각됩니다.
안녕하세요. 이효상 치과의사입니다.
임플란트 술식은 크게 지연식립과 즉시식립으로 구분됩니다.
지연식립이라 함은 발치후 3개월정도 발치부분의 치유가 끝나기를 기다렸다가 임플란트를 식립하는 술식이고,
즉시식립은 발치하는 당일 곧바로 발치한 부분(발치와)에 임플란트를 식립하는 술식입니다.
보통은 염증이 많은 경우에 즉시식립을 하기에는 부작용이 부담스럽기 때문에
지연식립을 권유드립니다.
하지만 논문들을 보면 즉시식립과 3개월 지연식립간의 임상결과차이가 많이 없다고 하는 분들도 있습니다.
결과적으로 완벽히 확립되지는 않은 상태인데, 보통은 염증많으면 지연식립을 고려하곤합니다.
안녕하세요. 김바른 치과의사입니다.
저번에도 답변을 달아드렸지만, 임플란트 치료의 경우 일반적으로 초기고정을 얻을 수 있는 상황이며 뼈 상태가 문제가 없다면 발치즉시 식립을 선호합니다. 이는 여러가지 이점이 있기때문입니다. 발치즉시 식립의 경우 심미적으로 중요한 전치부에서 잇몸의 형태를 가급적 최대한 유지할 수 있는 장점이 있고 추가적인 골이식을 통해 골의 부피가 줄어드는 것을 막을 수 있다는 장점도 있습니다.
이는 의료진이 판단할 부분이며 해당 의료진마다 선호하는 술식 스타일이 다르기때문에 나타나는 차이지 누가 맞고 누가 틀리냐의 문제가 아닙니다.
모든 경우에 있어서 획일적으로 치료 방향을 정하고 접근할 수 없습니다.
안녕하세요. 김철진 치과의사/경제·금융전문가입니다.
사진상으로는 염증이 그렇게 심한거 같지 않는거 같습니다. 발치하시고 염증을 충분히 긁어내고 임플란트 심어도 크게 문제가 되진 않을것같습니다.
안녕하세요. 이정현 치과의사입니다.
정확히 보기위해선 씨티 사진이 필요합니다.
파노라마만 봐서는 정확히 판단하긴 어렵습니다.
보통 앞니는 심미적인 부위이기 때문에 웬만해서는 발치즉시 식립을 하게되지만, 염증이 너무 심하다면 발치후 기다렸다가 심는게 좋습니다. 감사합니다.

