어금니 두 개도 교정이 가능한가요?
안녕하세요. 현재 아래쪽 어금니 두 개(사랑니 앞에 앞에 있는)와 턱근육 통증을 느낀지 거의 두 달 가량 된 상태입니다. 턱근육은 약물치료를 받다가 보톡스를 맞은지 3주 정도 된 상태인데 여전히 통증이 있습니다. 아래쪽 어금니 두 개도 통증이 있구요. 저는 아래쪽 매복수평사랑니가 밀어서 아픈 줄 알고 구강악안면외과에 갔는데 매복사랑니 때문이 아니라 위쪽 마지막 어금니들이 부정교합이라서 아래쪽 어금니에 부담이 많이 갈 확률이 높다고 하셨습니다. 그리고 교정을 권유하셨는데 위쪽 어금니 두 개만도 교정이 가능한가요? 교정을 진행하게 된다면 혹시 발치도 해야 할까요?
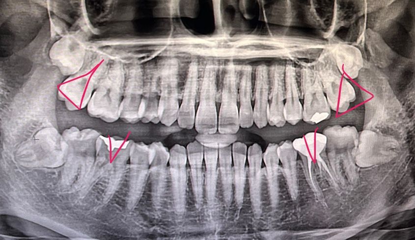
부정교합인 어금니에 세모 표시, 통증이 느껴지는 어금니에 체크 표시를 했습니다.
안녕하세요. 정진석 치과의사입니다.
일단 말씀하신 것으로 나타난 통증이라면 턱관절 스플린트 착용을 우선적으로 권합니다. 만약에 치아 교합에 의해서 지금의 통증이나 불편감이 있었다면 스플린트 제작 후 착용하게 되면 증상이 사라져야 합니다. 다만 착용 이후에도 나타났다면 교합 문제는 아닐 것으로 보여지며 치성이 아닌 비치성 통증(신경에 의해 나타난 통증)일 가능성도 있어 보입니다. 따라서 비치성 통증이라면 대학병원 구강내과 방문 후 검사를 해보셔야 합니다.
아무쪼록 저의 답변이 문제 해결에 작게 나마 도움이 될 수 있기를 기원드립니다. 항상 건강하고, 행복하세요^^
정진석 치과의사 드림
안녕하세요. 안상우 치과의사입니다.
특정치아만도 교정이 가능합니다.
교합간섭으로 인한 통증이라면 교합이 간섭되는 부위만 조정해도 증상이 완화되는 경우도 있습니다.
정확한 확인을 위하여 치과에서 자세한 진료를 받아보시길 권장 드립니다.
안녕하세요. 김철진 치과의사/경제·금융전문가입니다.
파노라마상태로는 교합을 확인을 할수가 없습니다. 구강외과 말대로 부정교합때문에 치아가 예민해져서 그런거라면 교정을 하시는게 좋습니다. 부분교정은 어려울껏같고 전체교정을 하셔야될것같습니다. 교정을 하게 되면 사랑니도 발치를 하셔야될것같습니다.
안녕하세요. 장인아 치과위생사입니다.
부분교정은 치아 하나를 이동시킨다거나 치아의 회전을 이동하는 단순한 치아 이동이 가능합니다.
부분교정여부와 발치여부는
개개인의 치열상태와 잇몸상태 전신질환 등 전반적인 상태에 따라 달라집니다.
도움이 되기를 바랍니다. 건강하세요.

