아하
  • 토픽

  • 스파링

  • 잉크

  • 미션


의료상담

갑자기기발한엔지니어

갑자기기발한엔지니어

교정 후 개방교합? 앞니가 안닿아요.

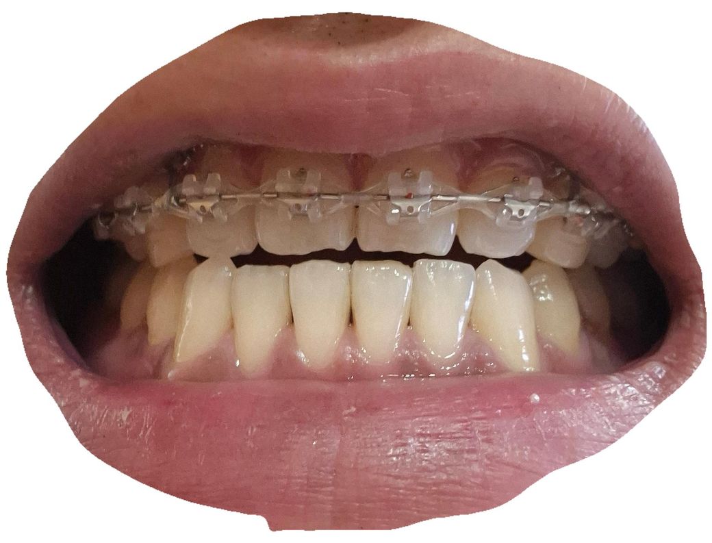
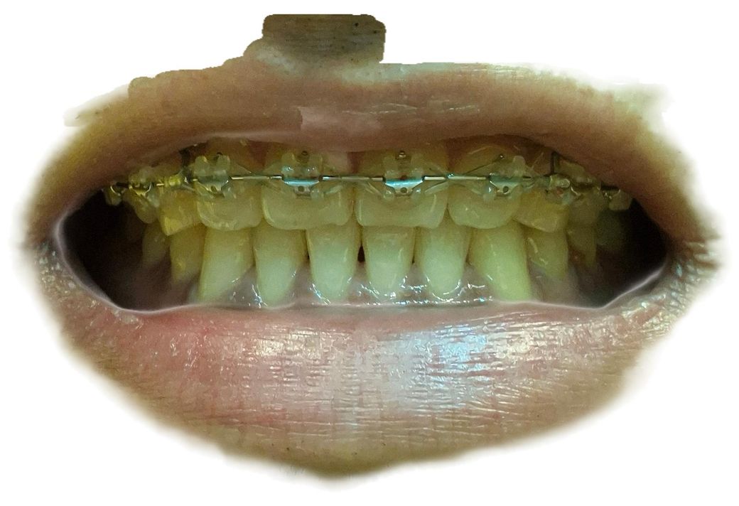
교정 후 앞니가 안닿습니다그냥 평범하면 입을 닫을 경우 앞니가 아랫니를 덮긴하는데 닿지않아요. 비닐뜯기, 면자르기 등 앞니로 불가능한 상태입니다.턱을 내밀어도 안닿습니다치과에선 이런경우가 있다고 합니다교정 시작때 치과에서 발치없이 치열만 교정하는거라 1년정도면 끝날거라 했고 현재 1년5개월정도 됐습니다. 반년전쯤 아랫니 장치는 뗐고 이번에 윗니 장치도 뗄 계획입니다. 아랫니는 유지장치 부착 후 꼈다뺐다하는건 6개월동안 식사때 빼고 계속 장착했고 지금 잘때만 착용 중입니다

1번 사진 평범히 이 닫고 정면

2번 평범히 이 닫고 아래에서 찍었을때

3번 아래턱 내밀었을때

  • 1번 째 사진
  • 2번 째 사진
  • 3번 째 사진

3개의 답변이 있어요!

  • 김철진 치과의사

    김철진 치과의사

    가까운우리치과

    안녕하세요. 김철진 치과의사입니다.

    원래 앞니의 경우는 위아래 공간이 살짝 잇는게 정상입니다. 전체적인 교합에 문제가 없다면 괜찮으느 상태 같습니다.

  • 안녕하세요. 안상우 치과의사입니다.

    교정을 할때는 전치 부위가 교합이 되지 않을 수 있습니다. 일반적으로는 전체적으로 교합이 되는 것이 더 안정적인 교합을 형성할 수 있으나 치아를 배열하는 과정에서 치아가 교합되지 않는 형태가 나올 수도 있습니다. 치아가 닿지 않는 만큼 다른 치아에 과도한 힘이 가해질 수 있으니 음식을 먹을 때 약한 힘으로 드시는 것이 좋습니다

  • 안녕하세요. 최석민 치과의사입니다.

    교정시 목표를 위아래 어금니 맞물림을 중점적으로 본것 같습니다 개방교합까지의 상태는 아니지만 불편감이 심하다면 구치부 압하를 통해 개선해볼 수 있습니다 추가적인 교정치료입니다