아핫뉴스실시간 인기검색어
아핫뉴스 화산 이미지
화산 아이콘 11
윤석열 사형 구형
많이 본
아하

의료상담

치과

조신한황로194
조신한황로194

서면 유☆☆☆병원에서 문제없다했는데 한번 봐주실수있나요?

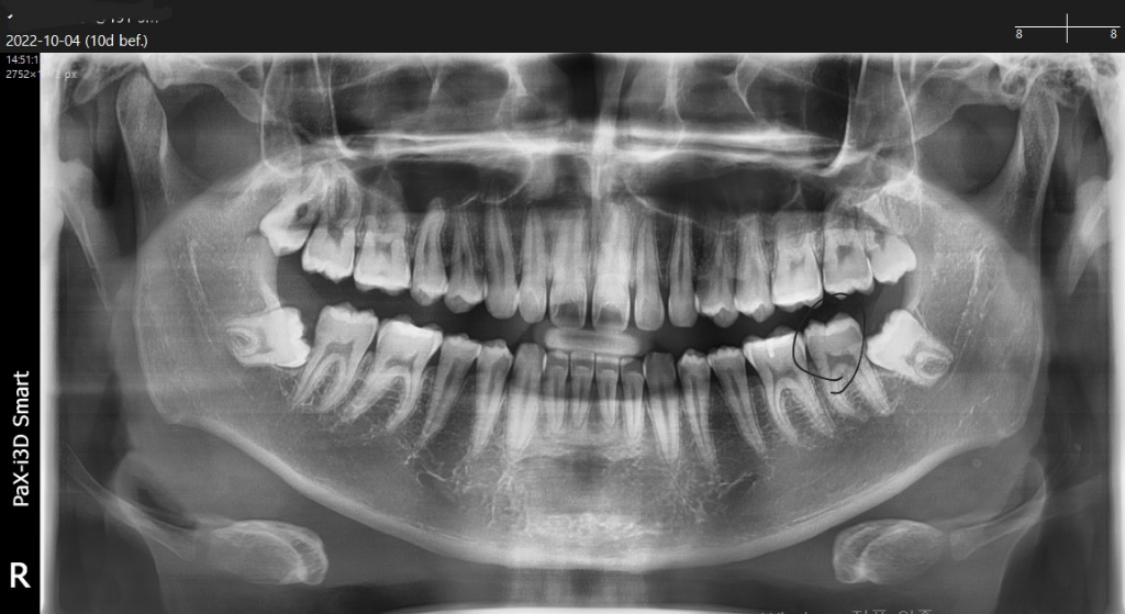
치아 동그라미친부분 심한 크랙 의심할수있나요? 치과 가보니까 심한충치는없고(정지성우식은 많음) 크랙도 심해보이진 않는다던데 동그라미친부분만 세게씹으면 칼로 쑤신듯이 아픈통증이 짧게 느껴집니다. 찬거 뜨거운것먹어도 이상없고 21세남자라 딱히 풍치같다는 느낌은 안드는데.. 왜그럴까요? 사랑니때문에 시린걸수도있나요?



  • 1번 째 사진
4개의 답변이 있어요!
  • 탈퇴한 사용자
    탈퇴한 사용자

    안녕하세요. 김주혁 치과의사입니다.


    치아에 크랙이 있는 경우 씹을 때 칼로 베이는 듯한 예리한 통증이 나타날 수 있으며


    크랙의 깊이가 깊은 경우 신경치료나 발치가 필요할 수 있으므로 치과에 내원하여 검사 받아보는 것이 좋습니다

  • 안녕하세요. 김철진 치과의사입니다.

    엑스레이상이나 육안상으로 크게 충치가 보이지 않는데 씹을때 불편감이 잇다면 치아에 금이갓을 가능성이 높습니다. 많이 아프면 신경치료를 하시는게 좋을것같습니다.사랑니 때문에 씹을때 아프거나 그렇진 않습니다.

  • 안녕하세요. 안상우 치과의사입니다.

    파노라마 사진만으로는 크랙의 여부를 확인하기 어렵습니다

    크랙은 방사선 사진보다 치아 자체의 를 봐야 확인할수 있는 경우가 다 많아요