아하
  • 토픽

  • 스파링

  • 잉크

  • 미션


의료상담

마나가하

마나가하

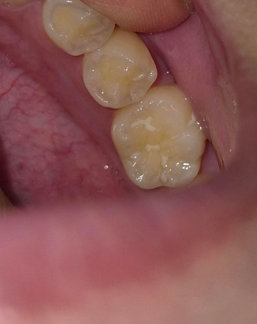
아이 어금니 실란트 떨어진 부위? 충치인건지요

어금니 동그라미친 부분인데요 , 실란트가 부분부분 삭제되긴했어요 근데 유독 저부분만 뒤쪽이긴하지만 각도때문인건지 신경쓰여서요 치과에서는 충치는아니고 실란트가 떨어져서 그렇고 빛에따라서 음영? 암튼 눈으로보면 뭐가껴있거나 그런식으로 색이 보여질수는있다고, 치과빛으로비춰 거울로보고 검진해도 충치는아니라고하셨는데 .. 왤케신경이 쓰이는건지.. 제가 어떤각도에서보면 유독저부분이 진짜뭐가껴있거나 충치같은색으로 보이기도하고 또어떤각도에선 괜차나보이기도하고 그러긴해요 ㅜㅜ 다른전문가분들의 의견이궁금합니다

  • 1번 째 사진
  • 2번 째 사진
  • 3번 째 사진
  • 4번 째 사진
  • 5번 째 사진

2개의 답변이 있어요!

  • 김철진 치과의사

    김철진 치과의사

    가까운우리치과

    안녕하세요. 김철진 치과의사입니다.

    충치는 아닌거 같고 저 사이에 음식물이 꼇거나 어둡게 보여서 그러는거 같으니 걱정하지 않으셔도 될것같습니다.

  • 안녕하세요. 최석민 치과의사입니다.

    충치는 아니고 골짜기의 그림자 같습니다 다만 저렇게 실란트가 떨어지고 틈이 있는채로 두면 충치가 잘생깁니다 보완을 해주면 좋을 것 같습니다