아핫뉴스실시간 인기검색어
아핫뉴스 화산 이미지
화산 아이콘 11
송도순 별세 소식
아하

의료상담

치과

정말유순한남생이
정말유순한남생이

맨 끝 치아가 아파요.. 이거 뭔가요..?

이게 뭔가요???

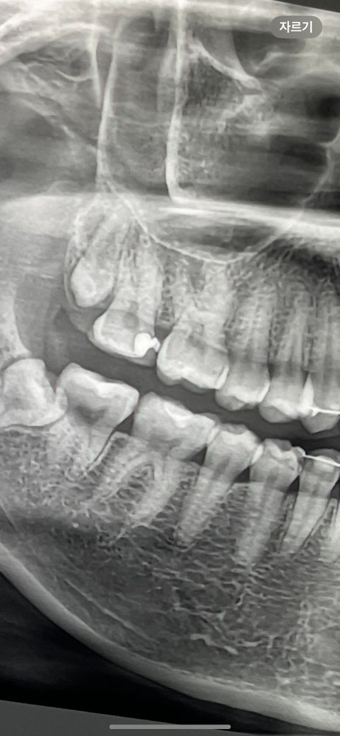
가장 최근에 찍었던 (3개월 전) 찍었던 엑스레이도 함께 첨부합니다 ㅠㅠ

1. 붓고 피도 나는 것 같은데 이게 뭔가요? 뭔가가 이물질이 틈으로 박힌건가요..?

2. 사랑니인가요..? 그런데

사랑니가 옆으로 자라는 것도 아닌데, 치아 뒤가 아니라 치아 옆이 저렇게 부을 수가 있는건가요?

  • 1번 째 사진
  • 2번 째 사진
4개의 답변이 있어요!
  • 안녕하세요. 김철진 치과의사입니다.

    사랑니 때문에 잇몸에 염증이 생겨서 그러는거 같습니다. 계속해서 불편하시면 발치를 하시는게 좋을것같습니다.

    1명 평가
  • 안녕하세요. 김지훈 치과의사입니다.

    사랑니가 있어서 그럴 가능성이 높아보이며 사랑니로 인한 염증이라면 발치하시는 게 좋습니다.

    1명 평가
  • 안녕하세요. 송우식 치과의사입니다.

    사랑니 때문에 염증이 생긴 것으로 보입니다. 사랑니 염증이 사랑니 바로앞 어금니쪽으로 퍼진 것입니다. 사랑니가 잇몸에 매복된 상태입니다. 사랑니를 뽑아야만 치료가 됩니다.

    1명 평가
  • 안녕하세요. 최석민 치과의사입니다.

    저건 2차원 사진이니 보이는 것보다 옆 어금니와 더 겹쳐있을 수 있습니다 아무래도 사랑니로 인한 문제로 보입니다

    1명 평가