아하
  • 토픽

  • 스파링

  • 잉크

  • 미션


의료상담

가끔빨간강아지

가끔빨간강아지

25.05.03

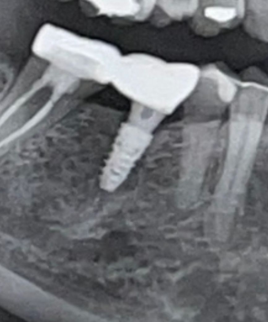
엑스레이 사진에 임플란트 염증이 보이나요?

최근 치과에서 찍은 사진인데 혹시 임플란트에 염증이 있나요..? 피가 나거나 아프진 않은데 임플란트 옆 치아 잇몸이 살짝 부어있어서요.. 답변 꼭 부탁드립니다

  • 1번 째 사진

3개의 답변이 있어요!

  • 김철진 치과의사

    김철진 치과의사

    가까운우리치과

    25.05.04

    안녕하세요. 김철진 치과의사입니다.

    사진상으로 크게 문제가 없어보입니다. 스켈링 및 잇몸치료를 받으시면서 관리하시면될것같습니다.

  • 안녕하세요. 안상우 치과의사입니다.

    사진상으로 봤을 경우에는 임플란트 뿌리 주변에 뼈가 손실된 것으로 보입니다. 임플란트의 별다른 느낌이나 불편감이 없다면 그대로 사용해도 될 것으로 생각됩니다. 하지만 임플란트에 너무 강하지 않게 힘을 작용해서 쓰는 것이 좋을 것으로 생각됩니다.

  • 안녕하세요. 최석민 치과의사입니다.

    정확한건 치근단 사진을 찍어봐야 할 것 같은데 임플란트 주위 잇몸뼈가 약간씩 녹아있습니다 이는 염증으로 인한 것일 수 있습니다