아하
  • 토픽

  • 스파링

  • 잉크

  • 미션


의료상담

빨간애벌래172

빨간애벌래172

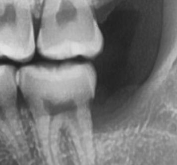
매복 사랑니 발치 후 어금니 패임 전후 사진 다시 올립니다

매복 사랑니 발치 미루다가 뽑았는데 앞 어금니 옆면이 사진처럼 각지고 부자연스럽게 패였습니다

저기로 씹을때 조금..? 아픈것 같기도 하고

충치 생길까봐 걱정되는데 괜찮은건가요?

레진으로 떼워야 될까요?

뿌리가 약해져서 크랙 위험도 높아졌겠죠...?

맨뒤 어금니로 씹다가 뚝하고 부러지면 어떡하죠..

어떤 조치를 취해야 될까요

전후 사진인데

사랑니 발치한 의사가 레지던트였는데 초짜라서 어금니 손상을 일으켰을수도 있나요?

  • 1번 째 사진
  • 2번 째 사진
  • 3번 째 사진

3개의 답변이 있어요!

  • 김지훈 치과의사

    김지훈 치과의사

    메가

    치과의 실수로 해당 모양으로 된 것으로 보이진 않고 치아를 발치 한 후 겹친 모양이 드러난 것으로 보입니다.

    관리잘하시면 큰 문제는 없어보입니다.

  • 사랑니가 기울어져 났을 경우에 사랑니가 걸려 있는 부위에 이물질이 남아 있게 되면 충치가 생기게 되고 사진처럼 각진 모양을 보일 수 있습니다 크게 문제가 되지 않기 때문에 걱정하지 않으셔도 되나 불편감이 있다면 해당 부위에 충치를 치료할 수 있습니다 자세한 확인을 위해서 치과에서 진료를 받아 보는 것을 권해 드립니다

  • 손상이 일어날 정도로 겹쳐있진 않고 다만 사랑니와 어금니 틈 사이가 관리가 어려웠어서 충치가 생겨있는 것 같습니다 다만 해당부위는 깔끔하게 치료하기는 쉽지 않습니다 오히려 증상이 없다면 지켜보면서 관리를 잘해주는 것이 좋을 수도 있습니다