의료상담
55글자 더 채워주세요.
4개의 답변이 있어요!
안녕하세요. 안상우 치과의사입니다.
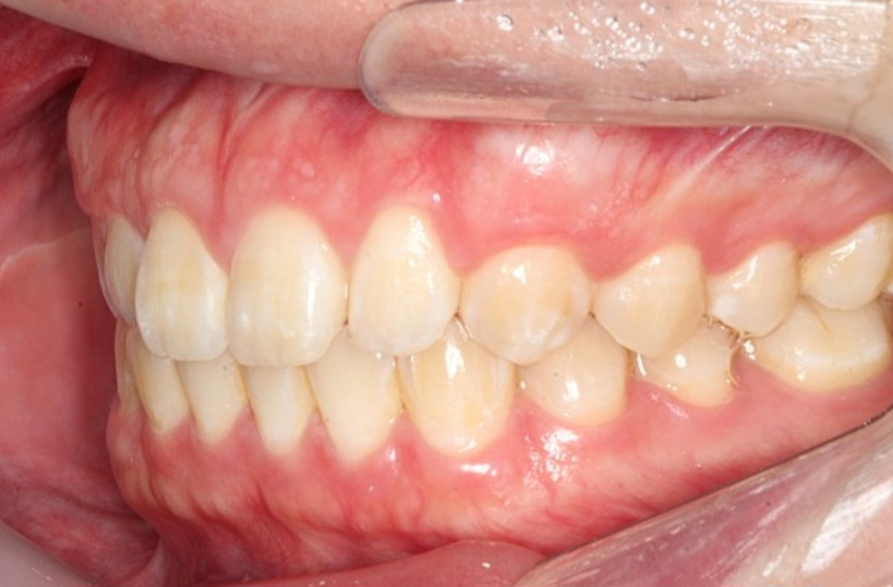
잇몸에 하얗게 보이는 부분은 뼈가 밖으로 나와 있어서 혈액의 양이 상대적으로 적게 흐르는 부위입니다 크게 문제를 발생시키지 않기 때문에 걱정하지 않으셔도 될 것으로 생각됩니다.
안녕하세요. 김형준 치과의사입니다.
괜찮습니다. 사람마다 치은의 두께는 다르며 연조직이 얇은 사람도 있고 두꺼운 사람도 있습니다.
사진상에선 연조직이 얇아보이시고 뼈가 도드라져 보이십니다.
뼈가 좀 튀어나온것일 뿐
정상적인 상태입니다.
안녕하세요. 김철진 치과의사입니다.
상대적으로 잇몸뼈가 튀어나오고 잇몸이 얇아서 그런거니 너무 걱정하지 않으셔도 됩니다.
안녕하세요. 최석민 치과의사입니다.
잇몸이 얇아 내부의 잇몸뼈가 비쳐보이는 것도 있고 구사진을 찍는 상황에서 잇몸이 신장되면서 더 그렇게 보이는 것도 있습니다 특별히 잇몸이 아주 병적인 상황으로 보여지는 것은 아닙니다

