아하
  • 토픽

  • 스파링

  • 잉크

  • 미션


의료상담

완전고혹적인사과

완전고혹적인사과

25.05.26

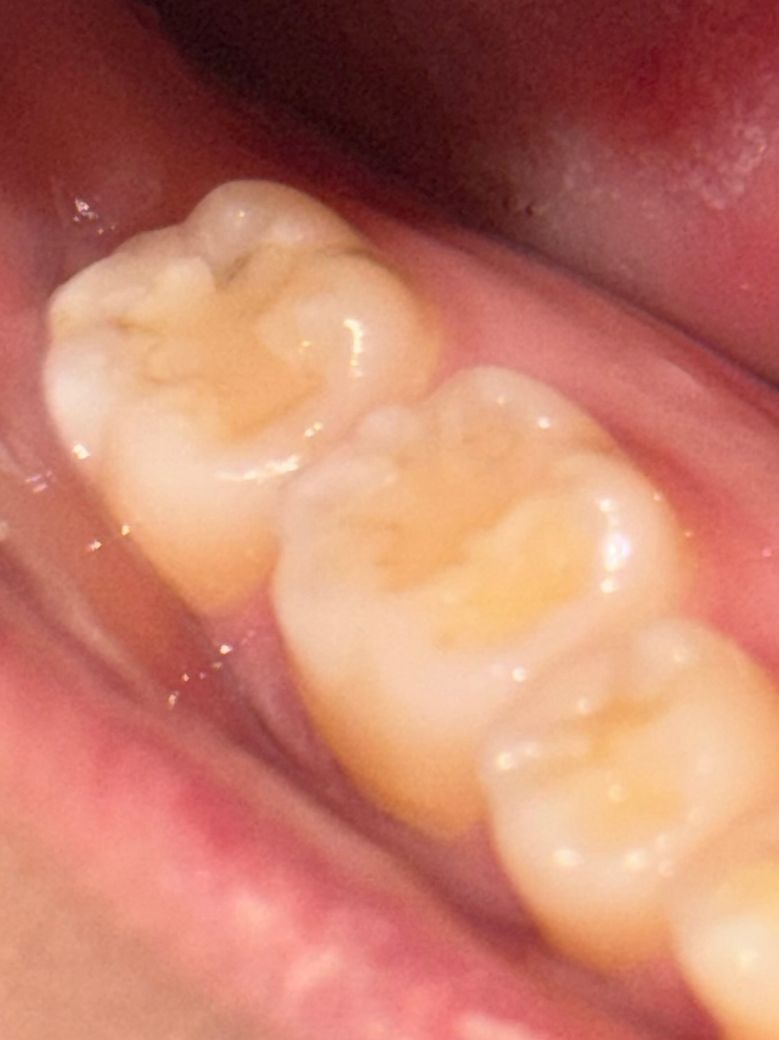
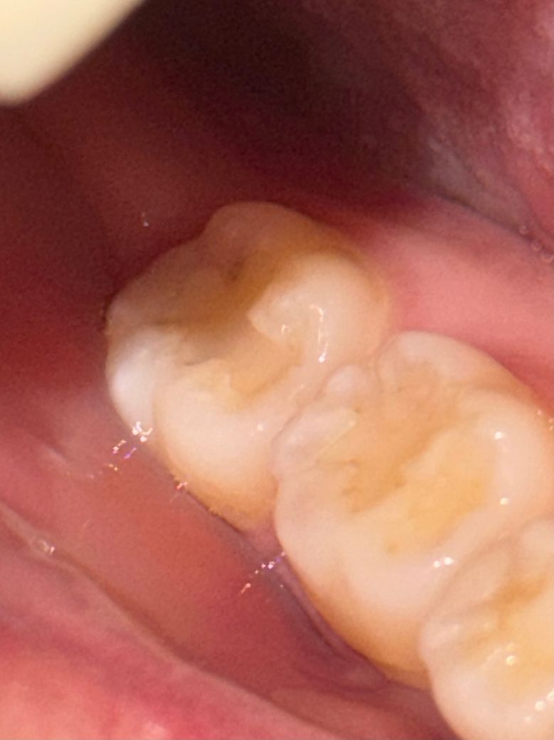
여기 충치가 생긴 게 맞는지 알고 싶습니다

최근에 치과에 갔는데 충치는 따로 없다고 해서 다행이다 하고 왔거든요 그런데 확인할 게 있어서 입 안을 보니까 맨 안쪽 어금니 레진? 채워진 부분에 회색으로 보이는 게 있어서 이게 충치가 맞을지 여쭤봅니다 사진으로는 조금 애매하게 보이는데 실제로 보면 그림자가 졌다기보다는 뭔가 있는 것처럼 보여서.... 엑스레이 찍었는데도 충치 없다고 하셨던 거라 더 잘 모르겠어서 치과 가보기 전에 여기에 먼저 올려봅니다

  • 1번 째 사진
  • 2번 째 사진

3개의 답변이 있어요!

  • 최석민 치과의사

    최석민 치과의사

    강원도 원주의료원

    25.05.26

    안녕하세요. 최석민 치과의사입니다.

    레진이 오래되다보면 치아와 레진 사이로 때가 낍니다 단순 변색이라고 보시면 될 것 같습니다

  • 안녕하세요. 김철진 치과의사입니다.

    레진치료를 하고나서 시간이 지나면 틈세가 생기면서 착색이나 변색이 발생합니다. 착색이 된거니 크게 걱정은 안하셔도 됩니다.

  • 안녕하세요. 안상우 치과의사입니다.

    사진으로 봤을 때 충치가 보이진 않습니다. 보철물 경계 부위가 떠 있거나 한다면 사진처럼 착색이 될 수도 있습니다. 크게 문제가 아닌 경우도 있을 수 있으니 자세한 확인을 위해서 치과에서 진료를 받아보세요