아하
  • 토픽

  • 스파링

  • 잉크

  • 미션


의료상담

다시봐도근사한벨로시랩터

다시봐도근사한벨로시랩터

25.07.31

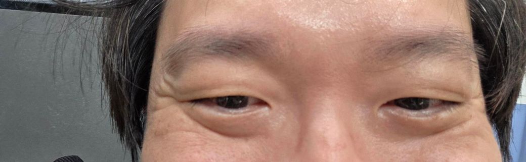
웃을때마다 눈밑에 살이 접히면서 큰 주름이 생겨요

성별

남성

나이대

40대

웃을때 눈밑에 저렇게 / 이런식으로 사선으로 살이 접히듯이 주름이 집니다. 애교살도 사라지고 눈가의 자연스러운 주름은 상관없으나 눈밑의 저 사선주름을 없앨수있나요? 웃을때 너무 못생겨서 트라우마에 걸릴지경입니다.. 태어나서 저처럼 저렇게 주름이 잡히는사람을 본적이 없어요..

  • 1번 째 사진
  • 2번 째 사진
  • 3번 째 사진
  • 4번 째 사진

아직 답변이 없어요.